아핫뉴스실시간 인기검색어
아핫뉴스 화산 이미지
화산 아이콘 11
한동훈 돌아올 것
많이 본
아하

의료상담

치과

역대급희망을가진랩터
역대급희망을가진랩터

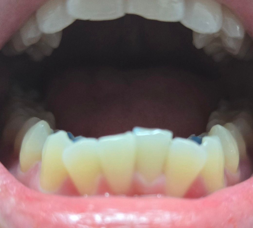
아래앞니 부분교정 원래 이렇게 되나요?

11월30일에 아래 앞니 부분교정 시작했어요

1번 2번사진은 교정 시작한날이고 3번4번 사진은 현재에요

질문1. 앞니 두개중에 낮은 앞니가 더 올라와서 앞니 두개 다 높이가 높아졌어요 원래 이렇게 진행되나요?

질문2. 앞이두개랑 옆 송곳니 사이가 벌어졌어요 원래 이런가여?

질문3. 앞니 두개중에 낮았다가 높아진 치아가 흔들려요 뽑히진않겠죠..? 원래 흔들리나여?

  • 1번 째 사진
  • 2번 째 사진
  • 3번 째 사진
  • 4번 째 사진
4개의 답변이 있어요!
  • 안녕하세요. 송우식 치과의사입니다.

    1, 원래 교정하는 동안에는 높낮이도 다르게 되고, 배열도 더 삐뚤삐뚤 해지지만 나중에는 가지른해 집니다.

    2,벌어지는 것도 더 벌어질 수있고 더 틀어지기도 합니다.

    3,흔들리는 느낌도 나중에 없어집니다.

    1명 평가
  • 안녕하세요. 김철진 치과의사입니다.

    교정을 진행중이라면 치아를 일단 이동을 시키기 때문에 치아가 약간 흔들리게 느낄수도 잇고 추후에 교합을 맞추면서 높이가 괜찮아 질꺼에요.

    1명 평가
  • 안녕하세요. 김지훈 치과의사입니다.

    교정 중에는 치아가 흔들릴수도 있습니다. 일부러 흔드시진 마시고 높낮이 등은 점점 맞춰갑니다.

    1명 평가
  • 안녕하세요. 최석민 치과의사입니다.

    교정이 마무리된 것이 아니므로 과정중에는 더 치열이 틀어져 보이는 어떤 변화가 있을 수도 있습니다.

    1명 평가