의료상담

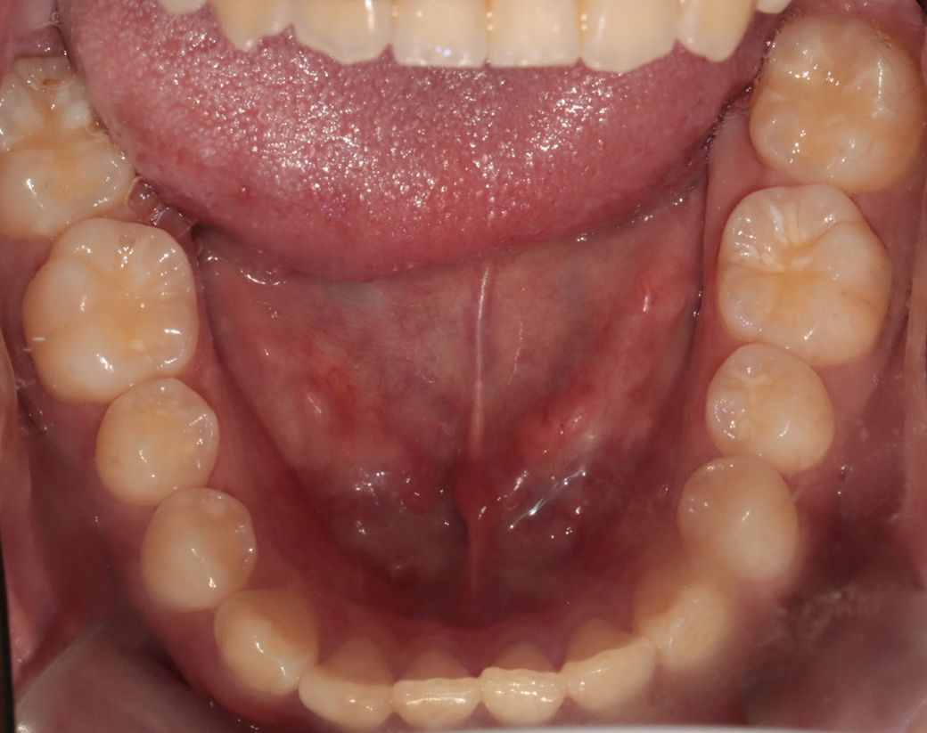
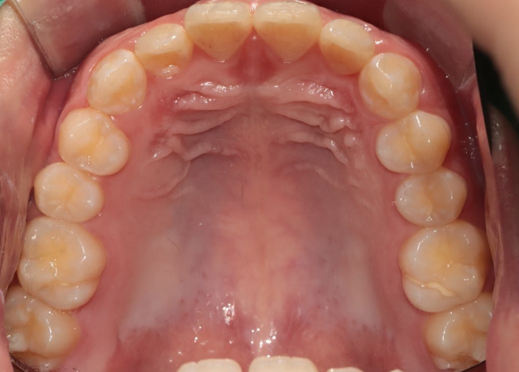
윗앞니 뒷면에 아랫니 앞니 앞면이 닿는게 맞는건가요?

윗앞니 부분교정인 상태입니다

치아를 다문상태에서 윗앞니 4개 뒷면에 아랫니 4개 앞니 앞면에 1~2mm 포개는 형태로 맞닿는 데 원래 치아가 면을 맞닿는게 맞는건가요??????

원래 가로로 면이 맞닿는게 아니고 위아래 앞니가 조금 공간있어야 하지않나요?

오른쪽 측절치 전방이동중이라서 공간이 생겼습니다 근데 왼쪽이 앙다물면 치아가 약간 부딪힙니다

동그라미 표시에 아랫니 치아가 윗니치아 뒷끝부분에 부딪혀요 이게 맞는건지 모르겠어요

  • 1번 째 사진
  • 2번 째 사진
  • 3번 째 사진
  • 4번 째 사진
  • 5번 째 사진
  • 6번 째 사진
  • 7번 째 사진
  • 8번 째 사진

1개의 답변이 있어요!

  • 안녕하세요. 정진석 치과의사입니다.

    자연치는 공간이 없습니다. 총의치의 경우에는 앞뒤 1~2mm가 정상이지만 자연치는 맞 닿는 것이 정상이라고 보시면 됩니다. 맞 닿지 않아 교정을 하는 경우도 있으며 보통 이는 2급 부정교합에 해당할 수 있는 부 분입니다. 따라서 지금 사진으로서는 이상이 전혀 없어 보입니다.

    아무쪼록 저의 답변이 문제 해결에 작게 나마 도움이 될 수 있기를 기원드립니다. 항상 건강하고, 행복하세요^^

    정진석 치과의사 드림