아하
  • 토픽

  • 스파링

  • 잉크

  • 미션


의료상담

햄찌썬더

햄찌썬더

임플란트 보철물 사이의 검은 공간에 대하여

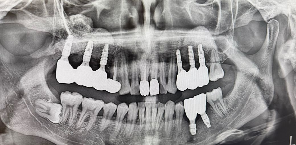
상악동거상술 하고 6개월 대기 후 보철물까지 식립하고 6개월 가량 지난 사람입니다.

사진은 윗쪽 브릿지형 보철물 사이 협측의 모습인데

얼마전 프라그가 좀 끼인거같아 회사근처 치과로 내원 후 소독&제거를 받았는데 보시다시피 보철물사이에 검은공간이 보여서 혹시 주위염이 발생한건지 고견을 듣고싶습니다(구멍이 크진 않으나 저런 검은 공간이나 경계면?이라고 해야할지 잇몸과 보철물 사이의 검은부분도 신경이 쓰이네요..)

12/24일에 파노라마 찍은것과 보철물 식립전의 잇몸사진도 첨부하겠습니다

  • 1번 째 사진
  • 2번 째 사진
  • 3번 째 사진
  • 4번 째 사진

2개의 답변이 있어요!

  • 김철진 치과의사

    김철진 치과의사

    가까운우리치과

    안녕하세요. 김철진 치과의사입니다.

    사진에 보이는는 정도는 괜찮습니다. 잇몸부위에 맞춰서 제작을 하지만 잇몸이 조금씩 내려가면서 약간 틈이 생긴거 같습니다.

  • 안녕하세요. 최석민 치과의사입니다.

    엑스레이상으로 크게 문제가 있는 염증상태는 아닙니다 그냥 보철물 종류(pfm)에 따라 안쪽 메탈 부위가 비쳐보이는 것이거나 어버트먼트 부위가 보이는 겁니다