아하
  • 토픽

  • 스파링

  • 잉크

  • 미션


의료상담

어린거위182

어린거위182

위 내시경 사진 바터팽대부? 정상인지 궁금합니다.

성별

남성

나이대

32

기저질환

없음. 이번달 내시경시 대장 용종 8,10mm 두개 제거함. sessile serrated lesion 나옴

복용중인 약

없음.

얼마전 위내시경을 했고 헬리코박터 균이 나왔다고 약만 타왔어요.

검사결과를 자세히 보고 싶어서 내시경 검사 리포트 서류를 뗐는데 십이지장에 이전 궤양 흔적의심되어 RUT를 했다는 내용이 다에요.

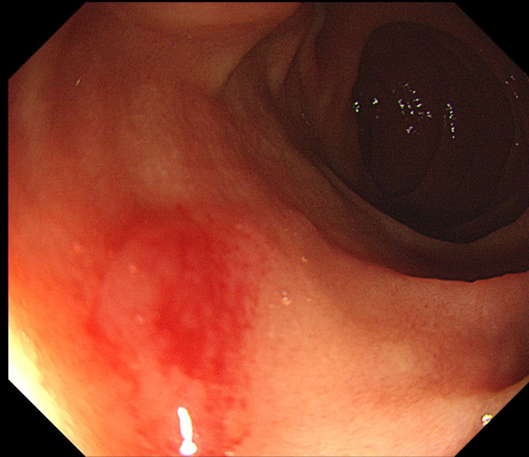
아래 사진이 바터팽대부가 맞나요? 바터팽대부는 정상인가요?

  • 1번 째 사진
  • 2번 째 사진

1개의 답변이 있어요!

  • 신성현 내과 전문의

    신성현 내과 전문의

    서울에이스내과의원 (개원예정)

    박터팽대부는 크게 이상이 있는 소견으로 판단되지는 않습니다. 바터팽대부는 실제로 돌출이 되어있기에 용종등과 육안상으로 명확히 감별이 안될수 있어 의심이 된다면 조직검사를 하거나 단기간 추적검사를 하는 것을 권장드립니다.