아하
  • 토픽

  • 스파링

  • 잉크

  • 미션


의료상담

편안한돼지276

편안한돼지276

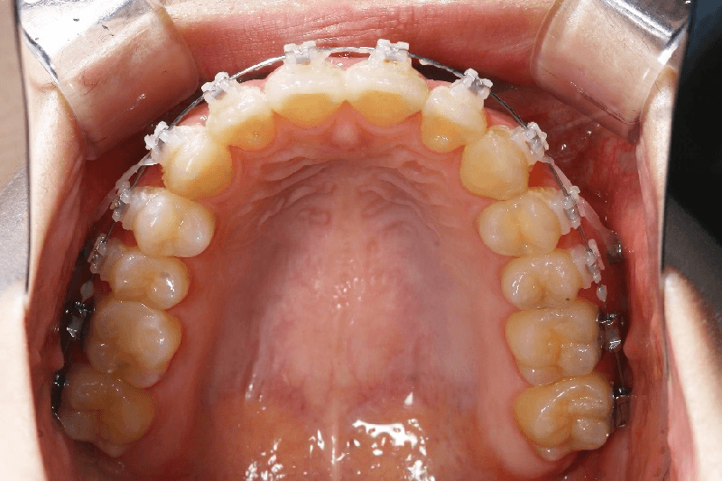
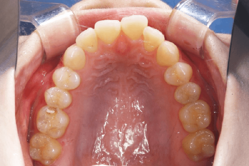
펴기단계에서 변화가 헷갈려서 질문합니다.

앞니 각도가 바뀌었는데...

전체적으로 앞니는 각도가 90도로 바뀌면서 입이

들어오고, 송곳니랑 다른 옆부분이 바깥쪽으로 펴지면서 나온건가요?



아니면 설마 입이 전보다 나온건가요??

ㅠ 입이 들어갔다 생각하고 앞니가 나오길바래서

교정장치를 뗐는데요....

근데 뭔가 입이 나온것같기도하고 헷갈려서 질문해요


  • 1번 째 사진
  • 2번 째 사진

2개의 답변이 있어요!

  • 송우식 치과의사

    송우식 치과의사

    솔플란트치과 경기도 성남시 모란역

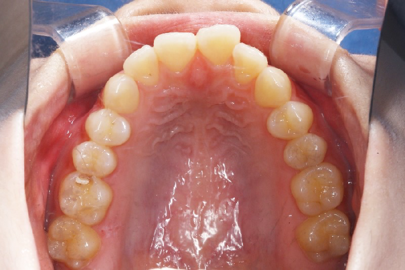
    안녕하세요. 송우식 치과의사입니다.

    발치를 하지 않고 교정을 한 경우 치아가 고르게 펴지면서 다소 앞으로 나올 가능성이 있습니다. 보다 정확한 부분은 엑스레이를 촬영하여 확인해보길권합니다.

    궁금증 해소에 도움이 되시길 바라며, 도움이 되신 경우 '추천' 부탁드립니다.

  • 안녕하세요. 김철진 치과의사입니다.

    사진으로 보면 교정이 잘되신거 같습니다. 치열이 환자분의 악궁에 맞게 잘 배열되신거같습니다.