아하
  • 토픽

  • 스파링

  • 잉크

  • 미션


의료상담

레알행복한망고

레알행복한망고

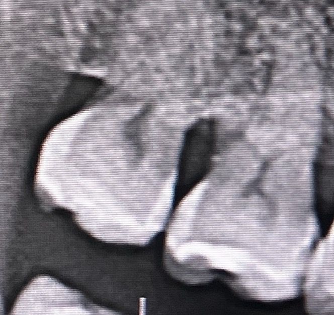
어금니 충치 신경치료 질문드립니다 (사진 있음)

사진상 오른쪽 어금니를 신경치료 진단 받았는데 왠만하면 피하고싶거든요. 생활치 크라운은 안될까요?

신경치료가 꼭 필요한 상태인지 답변 부탁드립니다..

  • 1번 째 사진

2개의 답변이 있어요!

  • 정진석 치과의사

    정진석 치과의사

    대학병원 통합치의학전문의

    안녕하세요. 정진석 치과의사입니다.

    생활치 크라운도 시도해볼 수 있으나 신경과 가까운 부위가 있어 무조건 생활치 크라운으로 끝나지 않을 수 있습니다. 만약에 신경치료가 너무 겁이 난다면 우선 생활치 크라운부터 해보시길 바랍니다. 그 이후에 증상이나 불편감이 있다면 신경치료를 해도 됩니다.

  • 안녕하세요. 최석민 치과의사입니다.

    신경치료를 피하고 싶은 이유가 있을까요

    신경치료를 해야하는 상황인데 환자든, 치과의사든 이를 회피하고 다른 방법으로 진행했을때 해당 치아의 예후가 안 좋아지거나 결국은 신경치료를 해야하는 상황이 아주 빈번하게 전개됩니다

    다만 신경치료를 해야하나 애매한 상황인 경우 말씀하신것처럼 부분신경절제 후 생활치 크라운 하는 절충방식도 시도해볼만합니다

    엑스레이상으론 신경치료 진단 내려진게 좀 애매하네요