아하
  • 토픽

  • 스파링

  • 잉크

  • 미션


의료상담

안녕하세ㅇ

안녕하세ㅇ

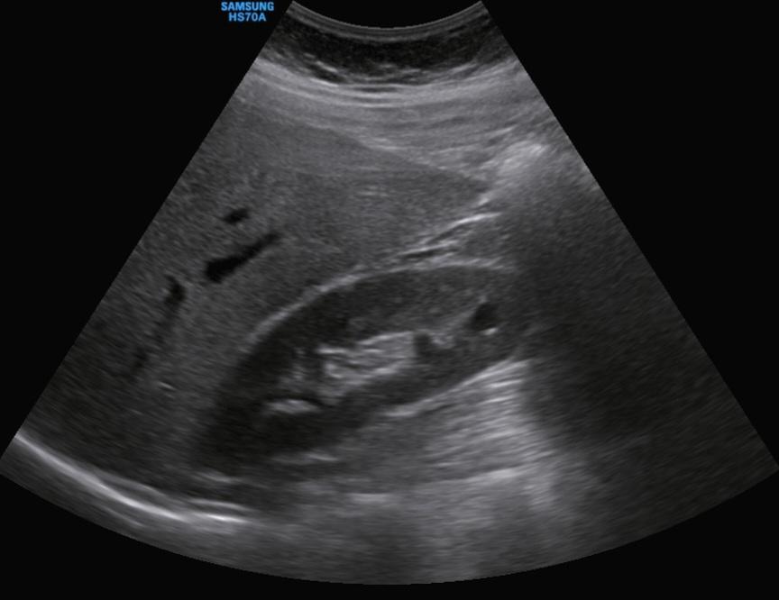
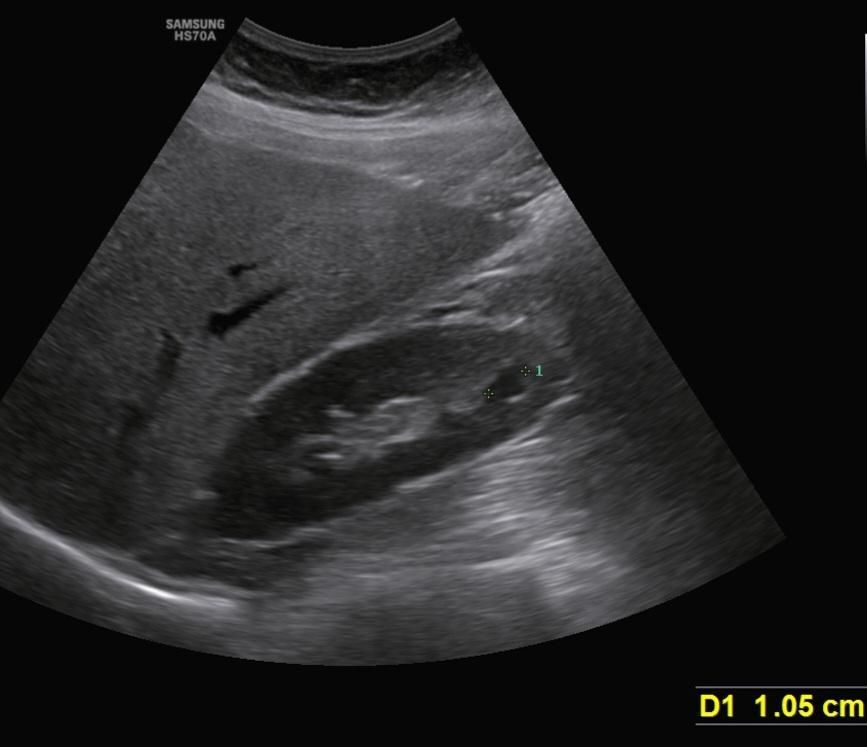
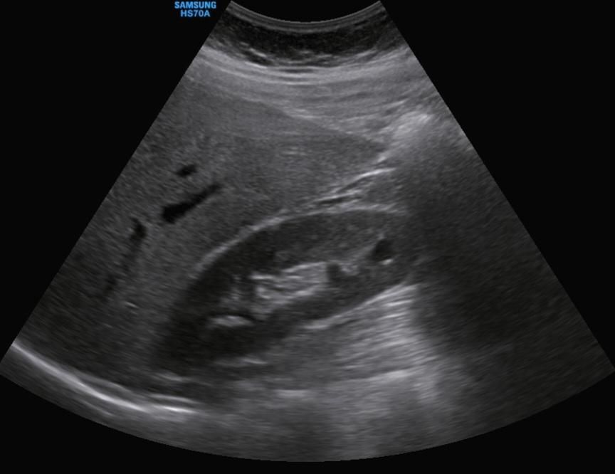
신장 낭종 복부초음파 봐주실분... 안에 하얀선?

성별

여성

나이대

30대

몰랐는데 동네 내과선생님이 23년 복부ct 다시 봐주시면서

23년부터 신장 낭종 9.75mm 정도 있었다고 했어요.

24년도 복부초음파에선 아무말못들었고

그리고 이번년도에 복부초음파에서 1.05cm 발견했어요.

참고로 23년 복부ct 3차병원에서 진료없이 ! 이전에 비장보려고 맡긴 판독이 누락되어 다시하고 판독지만 봤는데

결과지엔 그냥 cyst였어요. 보스니악 없고.

9.75mm에서 1.05cm면 자라난건가요...?

복부초음파 사진을 올립니다.

특히 안에 완전 검은색이 아니라 흰색선? 이 있어요..ㅠㅠ여자에요

요약 정보가 없어요.

  • 1번 째 사진
  • 2번 째 사진
  • 3번 째 사진
  • 4번 째 사진

1개의 답변이 있어요!

  • 채홍석 가정의학과 전문의

    채홍석 가정의학과 전문의

    유성선병원

    안녕하세요. 채홍석 가정의학과 전문의입니다.

    보스니악 분류에 대한 언급이 없다면 단순한 낭종이라는 뜻입니다.

    이는 크기가 커서 증상을 야기할 때 그러니까 아프거나 소변이 막히거나 등등 증상을 야기할 때 치료를 하시면 됩니다.

    그 전에는 특별히 처치를 할 필요는 없다고 보셔도 됩니다.

    초음파의 경우 정해진 plane이 없기 때문에 1:1 matching으로 비교하는 것은 무리가 있습니다.

    단지 검사자가 해당병변의 최대(maximal) 직경(diameter)을 측정하였다고 가정하고 20% 이상 증가를 했다면

    크기가 컸다고 고려합니다. 환자분의 경우 9.75mm 에서 10.5mm로 증가하였으니 계산해보면 7%가량 증가한 것 같은데 이런 경우에는 증가했다고 보기는 어렵습니다. 그걸 떠나서 낭종의 크기가 너무 작아요 1cm 근처인 완전낭종은

    아무도 문제삼거나 하지 않습니다. 이 정도 크기면 작아서 어떤 검사에서는 보이지 않을 수도 있을 것 같습니다.

    일단은 너무 걱정하지 마시고 매년 복부초음파로 추적관찰 해주시면 될 것 같습니다.