아하
  • 토픽

  • 스파링

  • 잉크

  • 미션


의료상담

활달한물수리236

활달한물수리236

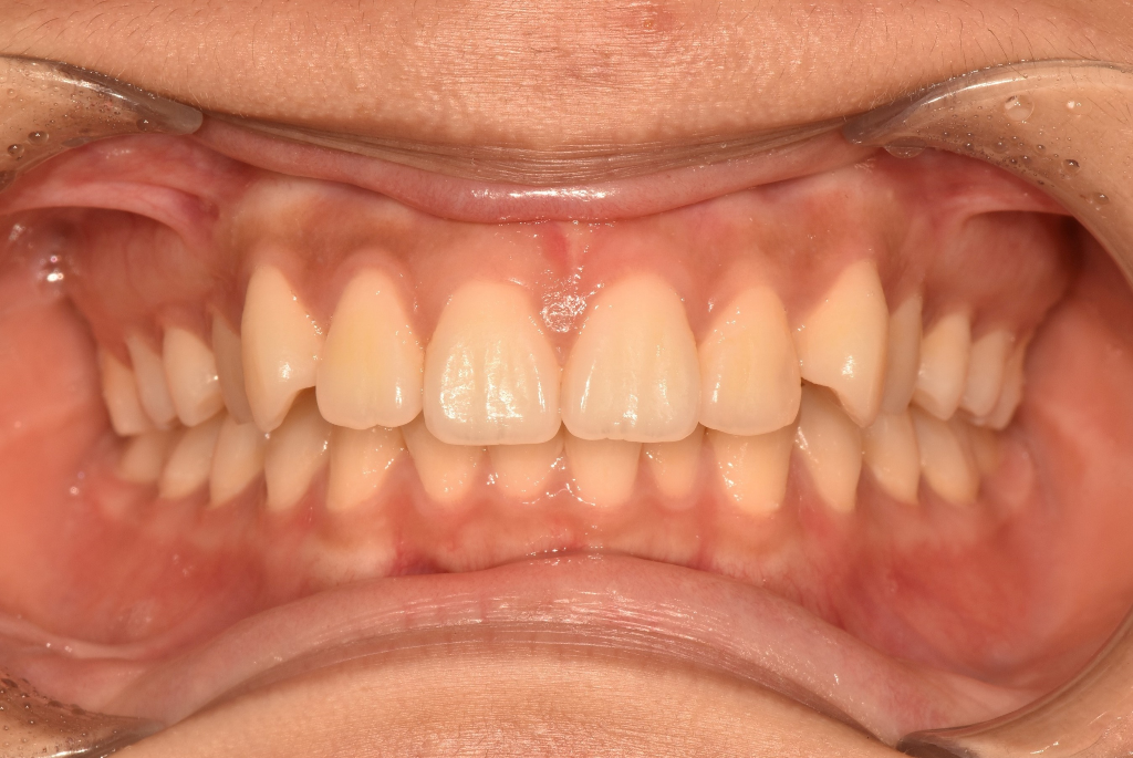
과개교합이라는데, 어느정도 일때부터 교정치료를 해야하나요?

아랫니가 틀어지기 시작해서 치과갔더니 과개교합이라고해요. 그동안 심미적, 기능적으로 불편함을 못 느꼈는데 과개교합을 방치하면 나이먹어 증상이 점점 심해져 치아건강에 안좋으니 윗니 발치하고 교정을 해야한대요.

지금 20살이면 구강구조가 다 완성된거 아닌가요? 더 나이먹으면 안좋아질 수 있을까요?

이 정도 과개교합도 부작용, 불편함을 감수하고 교정을 해야하는지 궁금해요







  • 1번 째 사진
  • 2번 째 사진
  • 3번 째 사진
  • 4번 째 사진
  • 5번 째 사진

3개의 답변이 있어요!

  • 김철진 치과의사

    김철진 치과의사

    가까운우리치과

    안녕하세요. 김철진 치과의사입니다.

    지금 불편한게 없고 심미적으로 문제가 없다면 저상태에서는 환자분의 선택사항일것같습니다.

  • 안녕하세요. 안상우 치과의사입니다.

    과개교합이 있어도 교합을 하는데 지장이 없고 교합이 안정적이라면 심미적인 이유를 제외하고는 교정을 할 필요는 없습니다.

    과개 교합이 더 진행되지 않도록 치아에 가해지는 힘을 줄여주는 습관을 가지는것이 좋아요.

  • 안녕하세요. 치아를 사랑하고 아끼는 치과의사 최석민입니다.

    1. 남성의 경우 아래턱은 성인이 되고나서도 성장합니다. 하악골의 만기성장이라고 하며 이로 인해서 치열에 변화가 있을 수 있습니다. 특히 아래앞니의 경우 그렇습니다.

    2. 교정은 무엇보다도 환자 본인의 의지가 중요합니다. 교정을 하는 과정에서 생각보다 불편하고 때때로 통증이 있어 중도에 포기하는 경우도 있습니다.

    3. 정상교합과 비교해봤을 때 과개교합(deep bite)이 지금 아주 심한 상태는 아닙니다. 다만 위 치아가 아래 치아에 비해 전방 위치하고 있는데 이건 원인이 턱(위턱)때문인지 아니면 단순히 치아가 경사져서 그런지는 방사선 사진을 찍어봐야 판단이 내려집니다.

    4. 이렇게 윗니가 좀 튀어나온 경우 전체적인 안모(얼굴외형)에도 영향을 주고 있을 수 있습니다. 입술과 인중 부위가 과긴장 상태로 약간 불룩하게 튀어나와 보일 수 있겠습니다. 말씀주신 것처럼 발치교정이 필요할 수도 있겠습니다.

    5. 제1대구치(첫번째 큰 어금니, 6번 치아)를 기준으로 class I, division 1의 부정교합 상태인 것 같은데 작은 어금니 발치를 통해 위 앞니를 조금 밀어 넣고, 제1대구치도 교합이 맞게 위치를 조정하게 될 것으로 보입니다.