충치 치료 지금 바로 시작 해야하나요??
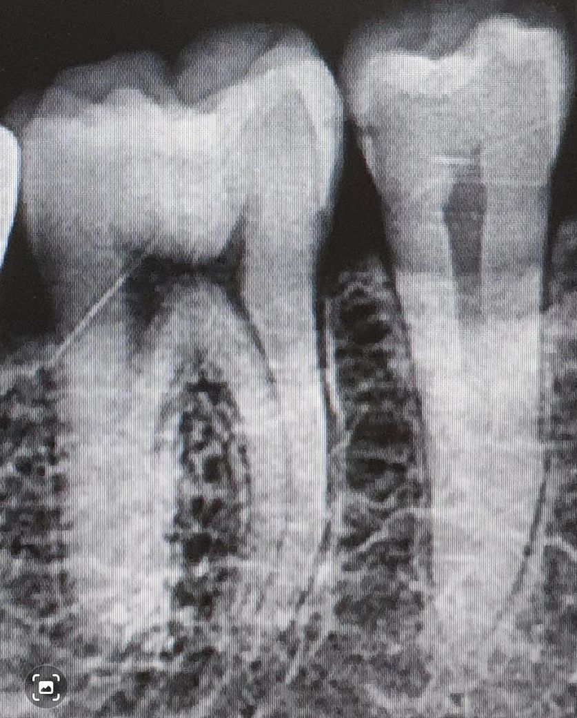
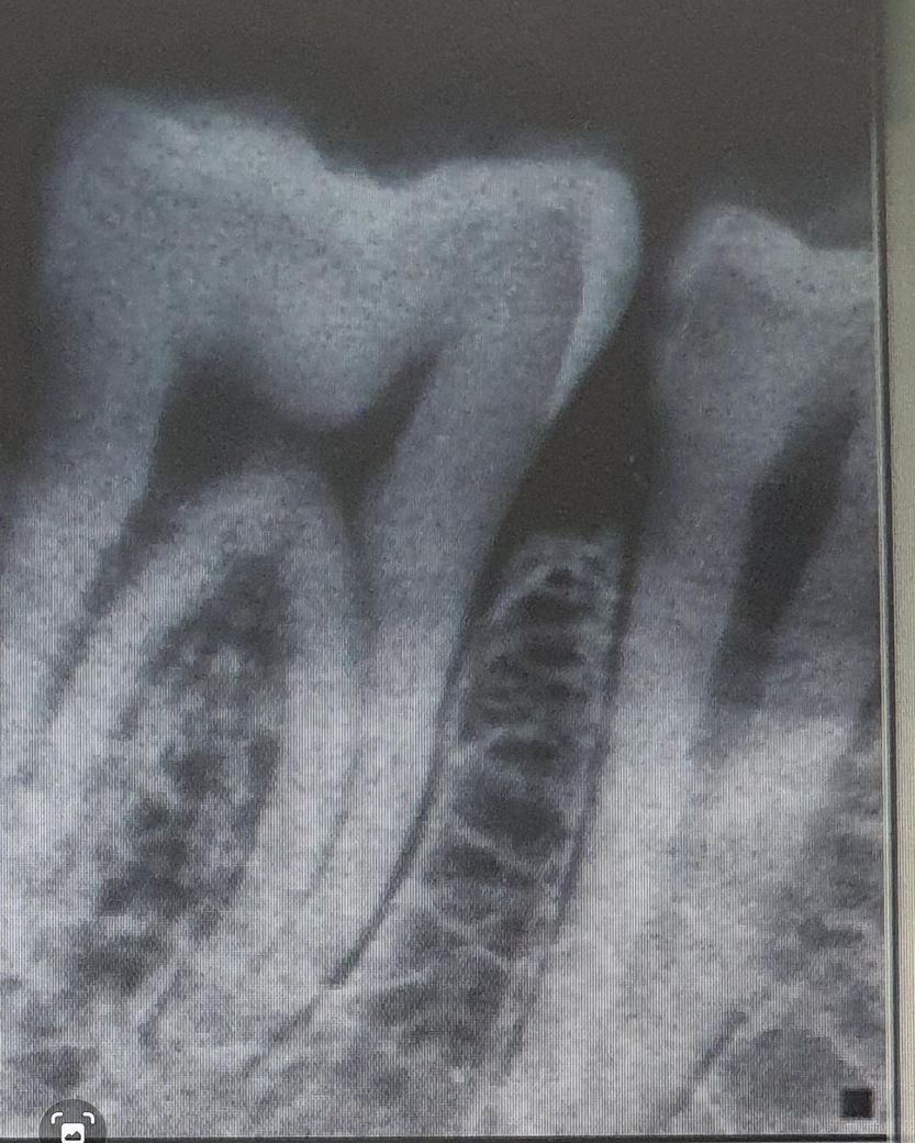
위에서 부터 순서대로
2017년 사진
2025년 사진
2017년 엑스레이
2025년 엑스레이 입니다.
증상없고 통증 없는데 인레이 해야된다는 치과도 잇고 걍 두고보자는 치과도 있는데 인레이 해야할까요??
안녕하세요. 송우식 치과의사입니다.
충치가 안쪽으로 어느 정도 진행된 것으로 보입니다. 인레이 하는 것이 좋을 것으로 판단됩니다.
안녕하세요. 김지훈 치과의사입니다.
충치치료는 바로 시작하는 것이 좋아보이며 인레이까진 필요할지는 직접 봐야할 것 같습니다.
안녕하세요. 김철진 치과의사입니다.
간단한 충치라서 관리를 잘하시면 크게 진행은 안될꺼 같습니다. 정기적으로 치과를 다니면서 관리를 받아보세요.
안녕하세요. 송준범 치과의사입니다.
치료하시는게 좋습니다. 이미 임상사진으로 봐도 거뭇거뭇하게 보이고 방사선사진상으로도 충치가 안쪽까지 진행되어 정지될 우식이 아닙니다.
지금은 신경을 건드리지 않아서 괜찮을 수 있지만 신경이 건드려서 가만히 있어도 아프게된다면 신경치료 및 크라운 치료로 넘어갈 수 있으니 아직 그정도까지 썩지 않았을 때 치료 받으시길 바라겠습니다.
안녕하세요. 최석민 치과의사입니다.
겉으로 보는 것보다는 안쪽 충치가 좀 있을 수도 있습니다. 신경이랑 거리가 얼마 안되는 옆면 충치이므로 미리 치료를 진행해도 좋을 것 같습니다.
안녕하세요. 안상우 치과의사입니다.
오른쪽 아래 J 소구치의 경우에는 인접면에 충치가 있는 것으로 보입니다. 인접면에 충시가 있는 경우 보통 인레이라고 하는 간접 수복 치료를 통해서 치료를 하게 됩니다. 육안으로는 보이지 않지만 인접면에는 충치가 클 수 있기 때문에 치과에서 검사를 하시고 정확하게 치료를 하는 것이 좋을 것으로 생각됩니다.

