의료상담
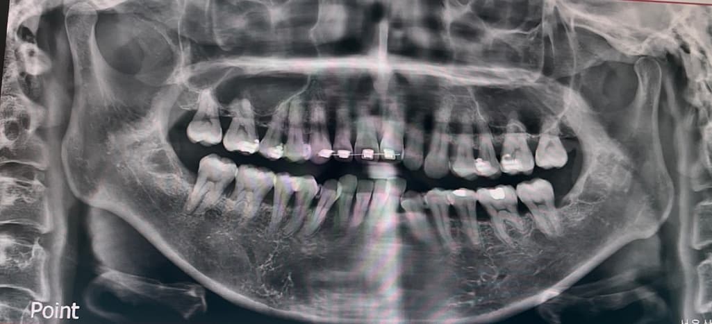
엑스레이 전체적인 치아상태 좀 봐주세용
교정진행중이라 일부만 달고 나머지는 곧 다는데요
잇몸이안좋아보이는데 교정하기 괜찮은가요 전체적인상태가 어때보이시나요?
30대후반입니다
55글자 더 채워주세요.
4개의 답변이 있어요!
안녕하세요. 김지훈 치과의사입니다.
잇몸뼈의 상태나 치아 뿌리의 상태 등이 아주 건강한 편은 아닙니다. 교정치료는 가능합니다.
안녕하세요. 김철진 치과의사입니다.
치아 뿌리들이 짧고 30대에 교정을 한다면 잇몸이 안좋아질 가능성이 높으니 관리를 철저히 하시는게 좋을것같습니다.
안녕하세요. 안상우 치과의사입니다.
브라켓이 부착되어 있는 파노라마 사진으로는 교정상태나 치아 상태를 정확하게 확인하기 어렵습니다.
자세한 확인을 위해서 치과에서 진료를 받아보는 것을 권유드립니다.
안녕하세요. 최석민 치과의사입니다.
나이에 비해 잇몸뼈 높이가 낮은편입니다. 잇몸과 잇몸뼈는 한번 낮아지면 재생이 어렵고, 교정으로 인해 퇴축이 가속화될 수 있습니다
교정 전 잇몸관련하여 치주과 의사와도 상담받아보세요

