치과 엑스레이 해석(?) 부탁드립니다.. 염증관련
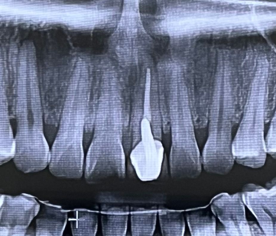
왼쪽 앞니는 어릴 때 크라운했습니다 . 현재 20년 넘게 유지중입니다 . 불편감도 없어요. 외적으로는 치아-잇몸라인이 검게 변한 것뿐입니다.
올해 초에 병원1에서 치아검진했을 때는
약간의 충치만 있고 지켜보잔 소견을 받았는데
최근에 사랑니 발치를 위해 방문한 병원2에서는 크라운한 치아 위쪽에 염증이 큰 범위로 있다하시네요 ㅠㅠ 발치에 대한 두려움으로 경황스러워
치료에 대한 방법은 키워드로 밖에 기억안나는데
발치하고 임플란트에 대한 얘기도 하셨어요 .
아직 젊은데 임플란트라니.. 크라운을 너무 오래 사용해서 그런걸까요..?
지나가시는 길에 엑스레이 한번 봐주세요..
선생님의 고견을 묻습니다..ㅠㅠ
안녕하세요. 최석민 치과의사입니다.
1. 앞니 크라운은 PFM(속은 메탈, 겉은 도자기)으로 하셨을텐데 시간이 지남에 따라 크라운 주위 잇몸이 내려가면서 속의 메탈이 보여 검게 비쳐 보이는 것입니다.
2. 앞니 크라운한 치아의 뿌리 주변 염증 상태는 파노라마 방사선 사진 말고 작은 치근단 방사선 사진으로 봐야 정확하게 진단이 가능합니다.
3. 염증(낭)이 치아 뿌리로 크게 잡힌 경우라도 통증이나 별다른 증상은 없을 수도 있습니다.
4. 처음에 신경치료를 한 원인이 치아 속 신경에 염증이 있어서 그랬던 거라면 염증이나 신경일부가 잔존해서 지속적으로 염증반응을 일으키고 뼈까지 염증이 진행된 상태일 수도 있습니다.
5. 현재 크라운해둔 앞니가 흔들리지는 않는지 확인해보시기 바랍니다.
6. 충치때문이라면 사랑니 발치가 필요하겠으나 만약 충치가 없다면 현재로서는 사랑니가 바르게 나와 있는 상태이고 기존 교정 치료 받으실 때도 사랑니는 뽑지 않고 살려 활용하는 것으로 결정되어 남겨진 것이므로 사랑니 발치가 불필요 합니다.
안녕하세요. 김철진 치과의사입니다.
엑스레이 상으로 신경치료하신 치아 뿌리끝에 염증이 잇어 보지만 진행되는건 아니니 크게 문제가 잇는건 아닙니다. 정기적으로 사진을 찍어보시면서 관리하시면될것같습니다.

