아핫뉴스실시간 인기검색어
아핫뉴스 화산 이미지
화산 아이콘 11
SKT 해킹 보상 10만 원 지급
아하

의료상담

성형외과

탈퇴한 사용자
탈퇴한 사용자

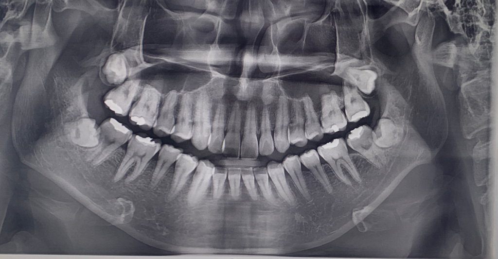
교정치료 후 치근흡수 문의드립니다

성별
남성
나이대
27


1. 현재 제 치아의 뿌리 상태가

어떠한지 궁금합니다.


현재 교정중에 있는데요. 교정을 하게되면 치근이 흡수되어 짧아지는 현상이 필연적이라고 하여

궁금합니다.


치근흡수되어 짧아지면 많이 흔들릴 정도의 뿌리인가요?


  • 1번 째 사진
1개의 답변이 있어요!
  • 안녕하세요. 아하(Aha) 의료분야 답변자 외과 전문의 배병제입니다.

    교정치료에 관련된 질문으로 생각됩니다. 해당 질문은 치과 카테고리에 작성해보시는 것이 더 도움이 될거라 생각합니다.

    저의 답변이 도움이 되셨길 바랍니다.