의료상담
6년전 수술 후 다시 찾아온 추간판 탈출증... 어떡하면 좋을까요
성별
남성
나이대
27
복용중인 약
두타스테리드
4월 중순에 독감에 걸린적이 있어서 재채기도 많이하고
생산직에 근무중이다 보니 허리를 쓸일이 많다보니
언제 다친지는 모르겠습니다.
자는데 오른쪽 엉덩이부터 발목까지 너무 아파서 제목처럼
6년 전 수술했던 병원을 찾으니
다른곳이 나왔다고 하네요...
수술했던곳에서 1회
직장 상사 추천으로 다른병원으로 옮겨서 2회
스테로이드 주사 총 3회 맞고 진통제 먹으며 생활하고 있습니다
6년전에는 엄지발가락이 마비증세가 있어서 수술한걸로 알고있습니다.
지금은 마비증세가 없어서 궁금한게 있는데
혹시 마비증세가 없으면 약물 및 주사 치료말고 걷기, 스트레칭을 통해 통증을 완화 할 수 있을까요???
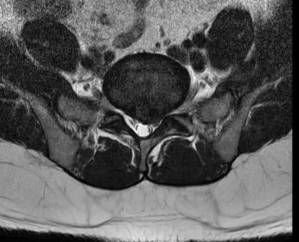
아래 첨부한 사진이 제 MRI 사진인데 집에서 요가매트로 간단하게 할만한 스트레칭 자세 추천해주실수있을까요?
회사 동료분이 근육강화주사를 맞고 좋아졌다는데 무슨 약이 들어가는건지 알 수 있을까요??
55글자 더 채워주세요.
아직 답변이 없어요.

