아핫뉴스실시간 인기검색어
아핫뉴스 화산 이미지
아하

의료상담

치과

참신한까마귀249
참신한까마귀249

잇몸통증이 한달 넘게 있는데 원인을 모르겠습니다.

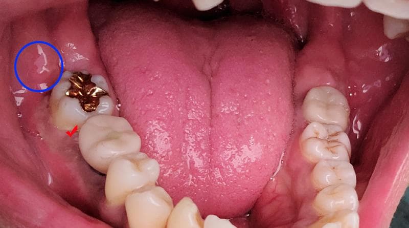
8/25일 통증이 생겼고 처음에 사진상 빨간 체크부위가 아파서 내원했습니다. 이후 9월1일부터 지금까지 잇몸치료(미노클린주입) 2회 -> 임플란트 상부보철물제거 -> 9월20일 인레이치아 부터 뒤쪽 잇몸까지 절개 소파술 시행 하였습니다. 현재는 저 부위에 통증은 사라진 상태지만 통증이 이동하여 파란동그라미 부위에 통증이 생겨 현재도 약을 복용하고 있습니다. 큰통증은 잡혔지만 아직도 통증의 원인을 모르겠습니다.

대학병원 치주과에서도 엑스레이 초진에선 이상없다고 하셔서 추후 10월16일 다시 가보기로 했는데, 혹시 비치성치통은 아닌지 신경적인 문제인지 잘모르겠습니다. 고칠 수 없는건 아닐지 불안하고 답답하네요.

특이적 증상으론 누울때 통증이 조금 완화됨 , 음식물 및 물을 먹을땐 통증이 일시적으로 완화 , 그리고 24시간 계속아픈게 아닌 진통제와 항생제를 먹으면 나아지고 몇시간 아프면 몇시간은 안아픈 것 같습니다. (주기적)

대학병원에서 해야할 치료와 검사가 뭐가 남았을까요. 일반치과에서 인레이치아 치수생활력검사까지 다해본 것 같은데 통증의 원인을 찾을 수 있을까요.. 임플란트는 골손실도 없다고 합니다.

  • 1번 째 사진
55글자 더 채워주세요.
4개의 답변이 있어요!
  • 안녕하세요. 김철진 치과의사입니다.

    치아나 잇몸문제가 아니라면 삼차신경통일 가능성도 잇으니 구강내과를 가셔서 검진도 받아보시는게 좋을것같습니다.

    1명 평가
  • 안녕하세요. 김지훈 치과의사입니다.

    모든 치료를 받은 후에도 계속 해서 통증이 있다면 신경통의 문제일 가능성도 있어보입니다.

    1명 평가
  • 안녕하세요. 최석민 치과의사입니다.

    대학치과병원 다시 가신다면 치주과 말고 구강내과도 가보시기 바랍니다 잇몸의 바이러스 내지는 세균 감염 검사도 해봐야 할 것 같습니다

    1명 평가
  • 안녕하세요. 안상우 치과의사입니다.

    치아로 인해서 점막조직이 자극이 되면 사진처럼 보이며 불편감을 유발할수 있습니다 점막을 자극하지 않기 위해서는 치아에 힘을 적게 주어 점막조직이 치아 사이에 밀려나지 않게 해보는것이 도움이 될수 있습니다.

    1명 평가
PC용 아하 앱 설치 권유 팝업 이미지장도연이 추천하는 아하! 앱으로 편리하게 사용해 보세요.
starbucks
앱 설치하고 미션 완료하면 커피 기프티콘을 드려요!