아하
  • 토픽

  • 스파링

  • 잉크

  • 미션


의료상담

첨벙첨벙물텀벙

첨벙첨벙물텀벙

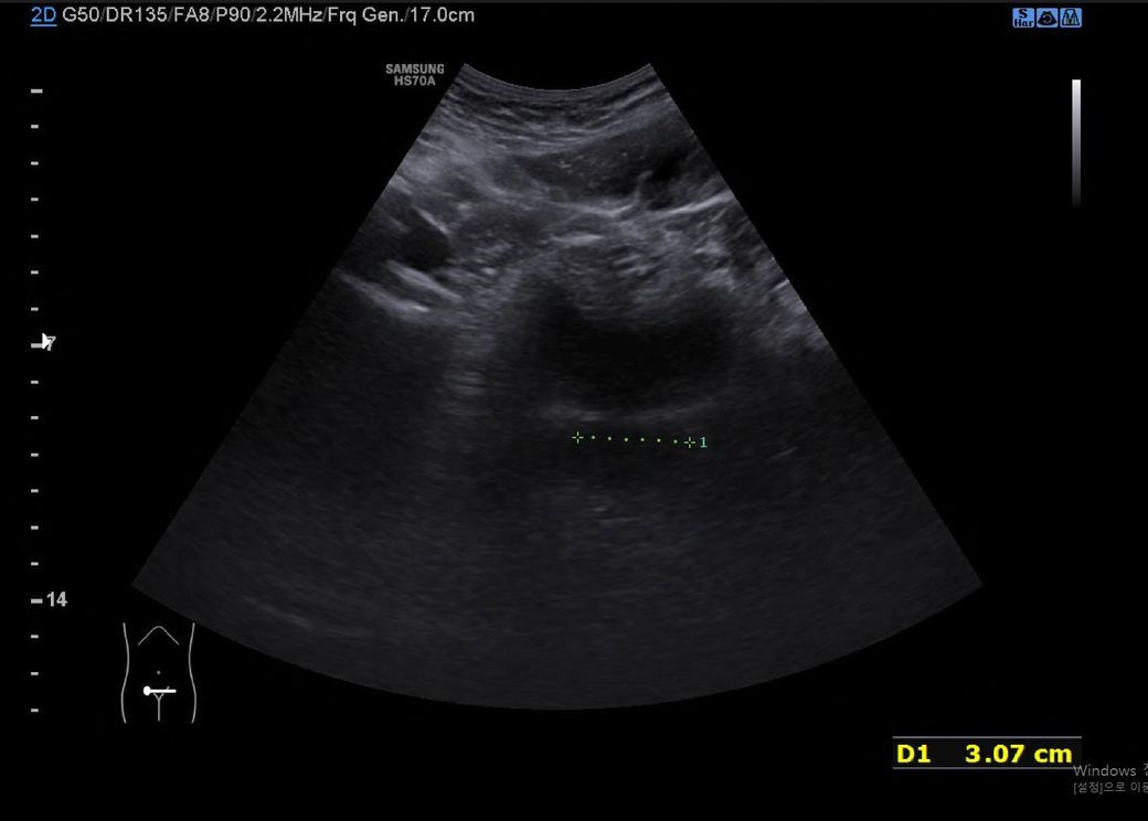
초음파사진인데 무엇인지 알려주세요.

성별

남성

나이대

40대

기저질환

지방간

옛날에 찍었던 초음파 사진이에요.

지방간때문에 촬영하러 갔었어요.

3cm나 되는 저건 무엇일까요?

알려주시면 감사하겠습니다.

  • 1번 째 사진

1개의 답변이 있어요!

  • 옥영빈 의사

    옥영빈 의사

    홍성의료원

    초음파 검사가 하복부 쪽 위치에 촬영된 점 및 초음파 사진의 구조물의 생긴 모양을 보았을 때에는 방광을 촬영한 영상일 가능성이 가장 높아 보입니다.