아하
  • 토픽

  • 스파링

  • 잉크

  • 미션


의료상담

유난히고무적인배

유난히고무적인배

25.04.07

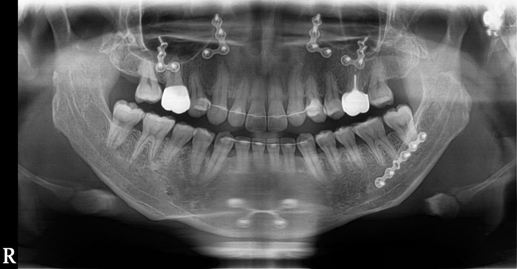
치아사진 분석좀 해주세요(사진첨부)

상악 우측송곳니(사진은좌측)

철사가있을때와 반제거했을때 비교

철사가있을때 이미 벌어져있던건지 아니면 제거후 벌어진건지 진문가소견좀 주세요

사진확대하면 잘보입니다

  • 1번 째 사진
  • 2번 째 사진

4개의 답변이 있어요!

  • 김지훈 치과의사

    김지훈 치과의사

    메가

    25.04.07

    안녕하세요. 김지훈 치과의사입니다.

    철사가있을때 이미 벌어져있던 부분이 보입니다. 위 사진만으로 명확한 판단은 힘듭니다.

  • 안녕하세요. 김철진 치과의사입니다.

    사진만으로는 알수가 없습니다. 유지장치가 잇는상태에서는 일반적으로 치아가 움직이진 않습니다.

  • 안녕하세요. 최석민 치과의사입니다.

    상악우측 송곳니 살짝 이동은 있어보입니다 다만 정확히 비교하려면 다른 기록(캐스트, 치근단 엑스레이사진) 필요합니다

  • 안녕하세요. 안상우 치과의사입니다.

    엑스레이 사진만으로는 해당치아가 이동했는 지여부를 정확하게 파악하기 힘듭니다. 사진을 찍을때 미세한 각도의 차이로 인해서 치아의 위치를 판단하기가 힘들기 때문입니다.