아하
  • 토픽

  • 스파링

  • 잉크

  • 미션


의료상담

대체로고마운치킨

대체로고마운치킨

구강백반증이나 구강암 초기인지 궁금합니다

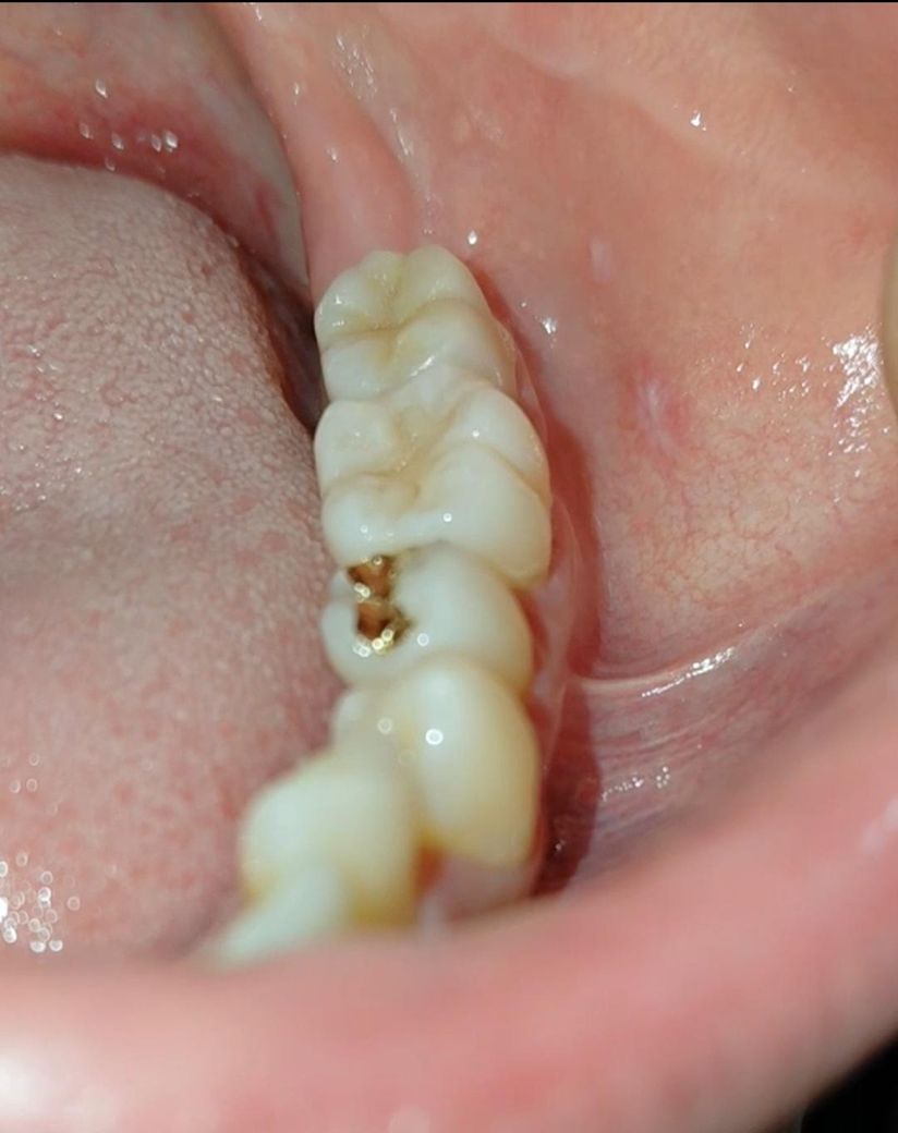
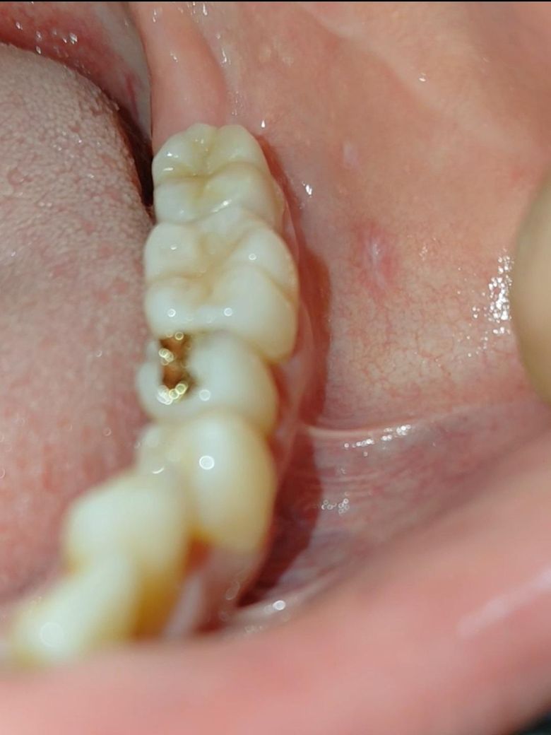
안녕하세요 환부 생긴지 일주일정도 되었는데,

따로 통증이나 출혈은없으나 표면이 거친느낌이 계속 듭니다. 구강암이나 백반증인지 궁금합니다

  • 1번 째 사진
  • 2번 째 사진
  • 3번 째 사진
  • 4번 째 사진
  • 5번 째 사진
  • 6번 째 사진

2개의 답변이 있어요!

  • 정진석 치과의사

    정진석 치과의사

    대학병원 통합치의학전문의

    안녕하세요. 정진석 치과의사입니다.

    사진만으로는 질병을 감별하는데 한계가 있습니다. 보여주신 사진으로 보아서는 백반증이나 구강암일 가능성이 극히 낮습니다. 단순 구내염이거나 구강 내 연조직 질환일 가능성이 높습니다. 단순 질환이라면 특별히 치료하지 않아도 2주 이내에 회복되는 특성을 가지게 됩니다. 따라서 현재 일주일 정도 지났으므로 일주일 더 지켜보시다가 그래도 증상이 호전되지 않거나 증상이 심해진다면 가까운 치과를 방문하여 검사를 해보시는 것을 추천드립니다.

    채택된 답변
  • 안녕하세요. 전택근 구강악안면외과 치과의사입니다.

    표면의 변화 및 성상의 변화가 있는 것으로 보았을 때 작은 크기의 편평태선이나 백반증의 일환으로 사료됩니다. 다만 사진만으로는 정확한 진단은 어려우며 구강악안면외과나 구강내과 내원하여 정확한 평가 및 정기적인 검진 받아보시기를 바랍니다.

    감사합니다.