아하
  • 토픽

  • 스파링

  • 잉크

  • 미션


의료상담

대체로고마운치킨

대체로고마운치킨

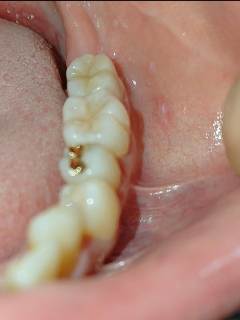
구강점막 하얀색병변 진해지고잇습니다

성별

남성

나이대

40대

저번주에 생긴 흰색 꺼끌꺼끌한 병변인데 좀더 흰색이 진해진듯 합니다 통증같은것은 없고 긁어도 지워지지않는데 무슨증상일까요?

백반증이나 편평태선 혹은 구강암초기 인지 궁금합니다

흡연은 하루 3개피 정도 이고 구내염 자주생깁니다.

  • 1번 째 사진
  • 2번 째 사진
  • 3번 째 사진
  • 4번 째 사진

2개의 답변이 있어요!

  • 강한솔 의사

    강한솔 의사

    응급의학과/피부미용

    사진상 보이는 병변은 안 지워지는 흰 반점입니다. 통증이 없고 궤양이나 피가 나는 모습은 없어 당장 암으로 강하게 의심되는 모양은 아닙니다.

    가장 흔한 원인은 첫째, 이가 반복적으로 닿으면서 생기는 마찰성 각화(굳은살처럼 두꺼워진 점막), 둘째, 흡연과 관련된 백반증입니다.

    구강암 초기일 가능성은 현재 사진만으로는 높아 보이지 않지만, 눈으로만 보고 완전히 배제할 수는 없습니다. 특히 흡연을 하고 있고, 최근 더 하얘진 느낌이 있다면 확인은 필요합니다.

    정리하면 2주 이상 계속되고, 점점 두꺼워지거나 넓어지거나, 단단하게 만져지면 조직검사가 필요합니다.

    지금 단계에서는 구강외과나 치과에서 한번 직접 진찰을 받는 것이 가장 안전합니다. 급하게 응급 상황은 아니지만, 미루지 않는 것이 좋습니다.

  • 안녕하세요. 김선도 의사입니다.

    현재 사진 자료로는 정확한 파악이 어려우며 가까운 이비인후과 방문하시어 정밀검사 권유 드립니다.