아핫뉴스실시간 인기검색어
아핫뉴스 화산 이미지
아하

의료상담

치과

대단한부전나비127
대단한부전나비127

매복된 치아 발치 꼭 해야겠죠?

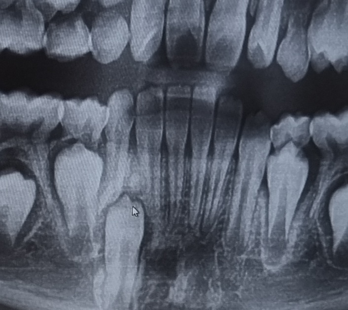
11살 아이입니다. 정기검진갔다가 알게됬는데요.

요 마우스위치의 뼈인지 치아인지때문에 나와야할 영구치가 못나오고있는것같다는 주치의 의견듣고왔네요.

전문가님들의 조언바랍니다.



  • 1번 째 사진
  • 2번 째 사진
4개의 답변이 있어요!
  • 안녕하세요. 정진석 치과의사입니다.

    말씀하신 부위가 뼈이거나 치아로 인하여 맹출이 지연되고 있음이 보입니다. 물론 정확한 것을 판단하기 위해서는 해당 부위에 ct를 촬영해보아야 할 것으로 보입니다. 뼈이거나 치아가 맞다면 대학병원 방문 후 해당 부위의 유치를 조기 발치하고 뼈나 치아를 제거한 다음에 영구치 맹출을 유도해야할 것으로 보여집니다.

    아무쪼록 저의 답변이 문제 해결에 작게 나마 도움이 될 수 있기를 기원드립니다. 항상 건강하고, 행복하세요^^

    정진석 치과의사 드림

  • 안녕하세요. 김철진 치과의사입니다.

    과잉치가 잇는거 같네요. 저런경우에는 발치를 해주시는게 좋습니다. 대학병원에가셔서 한번 문의를 해보세요.

  • 안녕하세요. 김지훈 치과의사입니다.

    과잉치가 있을 수 있습니다. 발치를 하셔야지 영구치가 나올 수 있으므로 수술을 고려하시는 것이 좋겠습니다

  • 탈퇴한 사용자
    탈퇴한 사용자

    안녕하세요. 장인아 치과위생사입니다.

    영구치 맹출시기 입니다.

    하악중절치 6 ~ 7세, 상악 중절치 7 ~ 8세

    하악측절치 7 ~ 8세, 상악 측절치8 ~ 9세

    하악견치9 ~ 10세, 상악견치10 ~ 11세

    하악1소구치9 ~ 11세, 상악1소구치9 ~ 11세

    하악2소구치10 ~ 12세, 상악2소구치10 ~ 12세

    하악제1대구치6 ~ 7세, 상악제1대구치6 ~ 7세

    하악제2대구치12 ~ 13세, 상악제2대구치12 ~ 13세

    하악제3대구치17 ~ 21세, 상악제3대구치17 ~ 21세

    유치가 너무 늦게 빠질 경우 영구치가 맹출 되는 것을 방해해 부정교합을 유발할수 있습니다.

    빠른 발치가 필요할수 있습니다.

    도움이 되기를 바랍니다. 건강하세요.