아하

의료상담

정형외과

모던한갈기쥐291
모던한갈기쥐291

현재 외국에 거주하고있어 진료속도나 처방에대해 모호한 태도를 취하고있어 질문을 남깁니다

성별
여성
나이대
33

제 추측컨데 최근 발레를 시작하였고 점프하는동작이 제법 많이 섞여있어 착지할 때 발에 무리가갔을 듯 한데 발레 당시에는 통증이없었고 어느날 아침에 갑자기 발이 부어오르면서 엄청난 통증이 생겼습니다

둘째날 까지 걷지도 못할지경이었고 그 후 얼음찜질을하니 도움이 되어 조금 걸을 수 있습니다

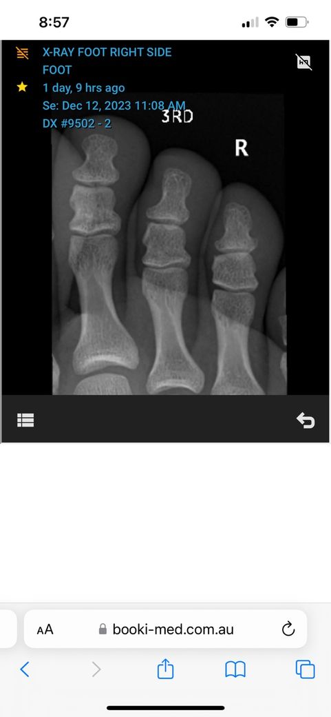
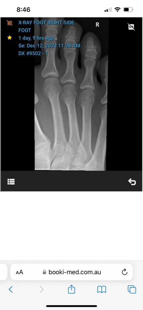
엑스레이 촬영까지 진행하였으나 별다른 처방이 나오지않아 질문남깁니다

  • 1번 째 사진
  • 2번 째 사진
  • 3번 째 사진
1개의 답변이 있어요!
  • 올리신 엑스레이 사진을 통해서 보았을 때에는 뼈의 골절 등 이상 소견이 보이지 않습니다. 다만 인대나 근육 등 부위에 대해서는 평가가 제한됩니다. 아무래도 추측건대 발레를 시작하고 발 부위에 충격이 반복되다 보니 충격으로 인한 조직 부종 및 염증 등이 생겼을 가능성이 높아 보입니다. 엑스레이 검사를 통해서는 보다 정밀한 소견들을 알 수 없습니다.