아하
  • 토픽

  • 스파링

  • 잉크

  • 미션


의료상담

핫한홍학58

핫한홍학58

23.09.29

상악 제2대구치 발치 후(가위교합) 사랑니 대체 교정이 꼭 필요한 경우는 어떤 건가요?

안녕하세요 교정 발치 때문에 최근에 고민이 많은 예비철길 후보 입니다 ...

선생님마다 견해가 달라서 너무 고민이 되어, 더 많은 선생님들을 만나고 싶었으나 시간 제약때문에 아하로 선생님들에게 질문 드립니다.


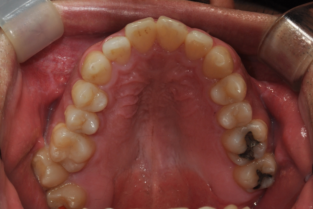
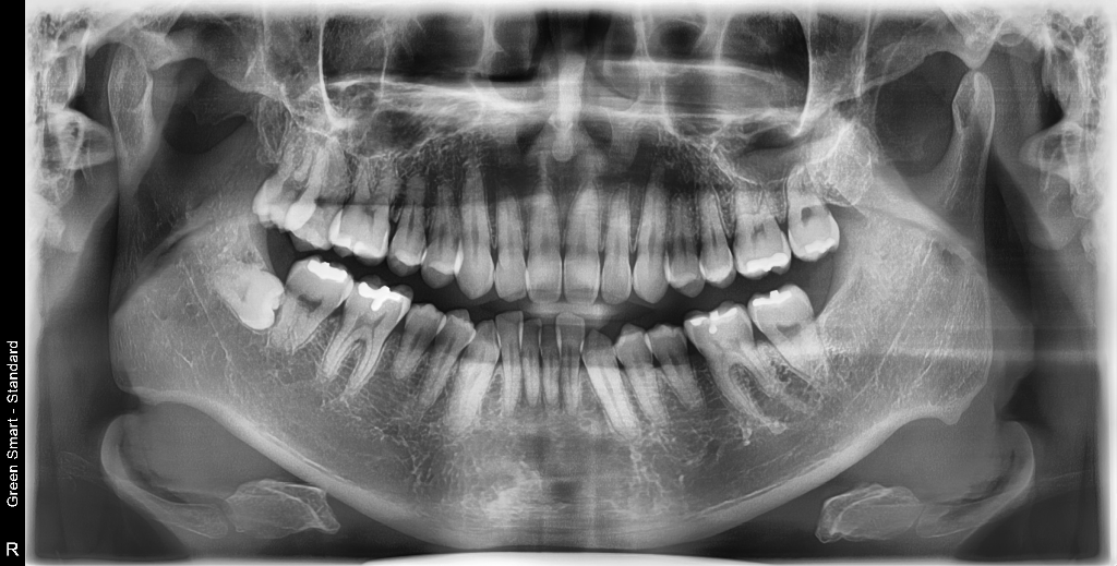
현재 저는 상악 7번 대구치 가위교합( 바깥쪽) 나와 있는 상황입니다. 7번,8번 모두 치아 상태는 괜찮다고 들었습니다.

A선생님은 7번 옮기다가 뿌리 상할 수 도 있고, 8번 상태 좋으니 7번 발치 후 8번 대체 권유하시고

다른 선생님은 8번은 크기도 약간 작고, 추후 신경치료 등 장기적인 관점에서 8번 발치 7번 사용을 권유 하셨습니다...

저 또한 7번 사용을 하고 싶으나, 많이 돌출 되어 있어서 옮기다가 잇몸 등에 영향을 줄까 고민이 됩니다 ㅠ

그리고 돌출되어 제 기능은 오랫동안 못 했지만 어금니라고 하니 발치에대한 심리적 거부감도 있습니다...

저 같은 경우도 7번 발치, 8번 대체가 필요한 경우일까요?





  • 1번 째 사진
  • 2번 째 사진

2개의 답변이 있어요!

  • 김철진 치과의사

    김철진 치과의사

    가까운우리치과

    23.09.30

    안녕하세요. 김철진 치과의사입니다.

    사실 둘다 맞는 말씀이라서 어떤걸 선택할지는 환자분의 선택사항입니다. 두분다 교정하는 스타일이 달라서 그런거니 더 믿음이 가는 선생님께 받으시면될것같습니다

  • 안녕하세요. 최석민 치과의사입니다.

    보통 두번째 어금니가 상태가 안 좋은 경우 발치하고 뒤에 있는 상태 좋은 사랑니를 뽑아 이식하거나 교정으로 땡겨 쓰는 경우가 있습니다

    다만 지금은 두번째 어금니가 건강한데 위치만 이상한 것이므로 위의 경우에 해당하지 않습니다

    이런 경우 보통은 사랑니를 뽑고 두번째 어금니 부분교정을 해주는 것이 좀 더 효율적일 것입니다