의료상담
의사 선생님들 충치 관련 질문이 있습니다
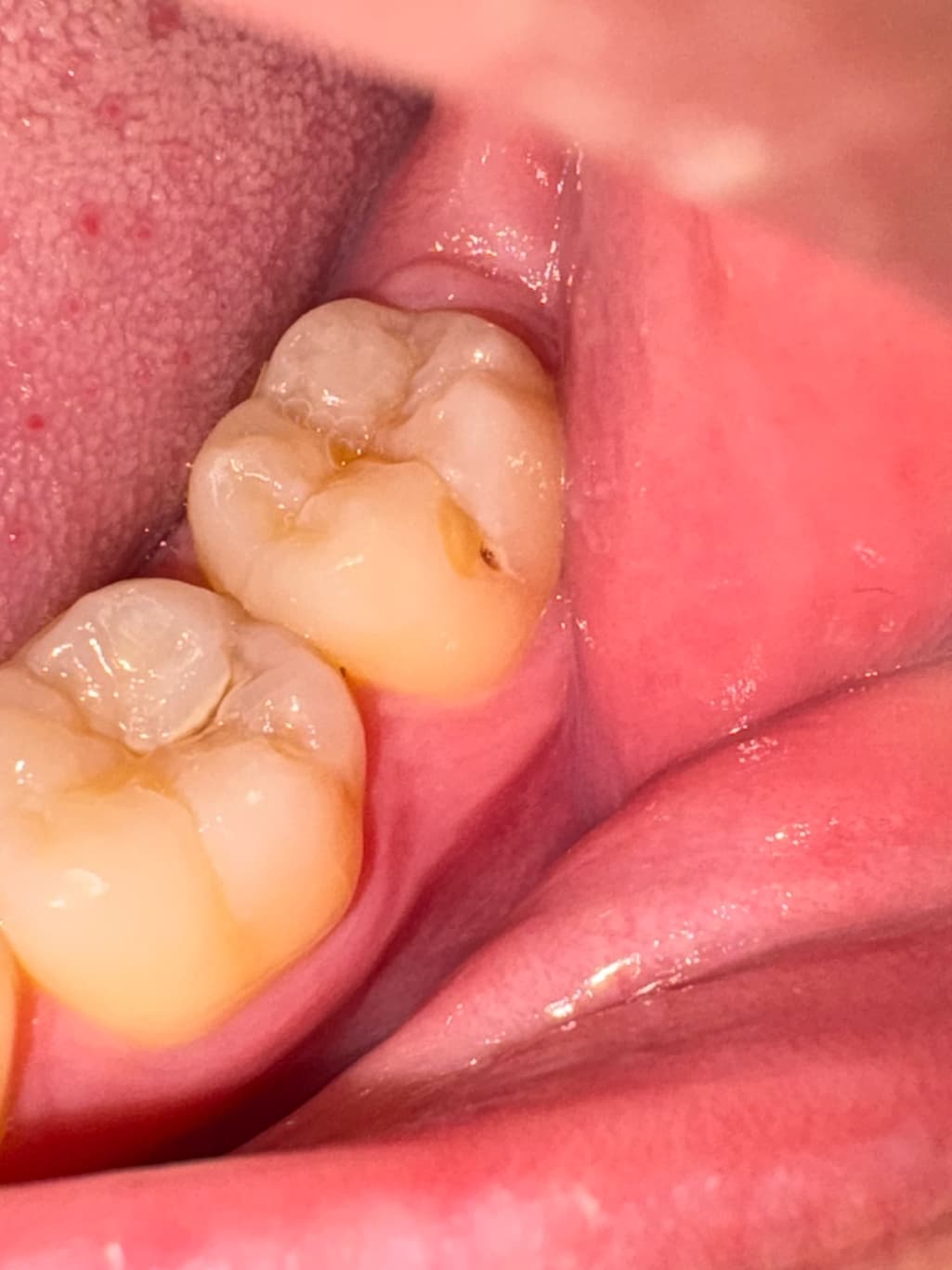
질문이 3개가 있습니다 충치인거 같은데 레진으로 어금니를 때워도 될까요? 이상태에서 2개월정도 치과를 안갈시 크게 문제가 될까요? 일단 치료를 받아야하는걸까요? 답변 해주시면 감사하겠습니다
55글자 더 채워주세요.
4개의 답변이 있어요!
안녕하세요. 안상우 치과의사입니다.
사진으로 봤을 경우에는 간단하게 레진으로 치료를 할 수 있을 것으로 생각됩니다. 채 내부에 충치로 인한 공동의 형성되어 있기 때문에 치료를 하지 않으면 해당 부위에 이물질이 들어가게 되어 충치가 더 진행될 수 있습니다.
1명 평가안녕하세요. 김철진 치과의사입니다.
사진에 보이는 충치가 2주 만에 크게 진행되거나 그렇진 않을꺼니 2주뒤까지 관리를 잘하시고 치료를 받으시면될것같습니다.
1명 평가안녕하세요. 김지훈 치과의사입니다.
충치가 깊게 진행이 되고 있으므로 2개월동안 방치하지 마시고 치과 가보시는 것이 좋습니다
1명 평가안녕하세요. 최석민 치과의사입니다.
질문이 3개가 있습니다 충치인거 같은데 레진으로 어금니를 때워도 될까요? 이상태에서 2개월정도 치과를 안갈시 크게 문제가 될까요? 일단 치료를 받아야하는걸까요? 답변 해주시면 감사하겠습니다 -> 이정도면 바로 치료 필요한 충치상태입니다 레진으로 시도해봅니댜
1명 평가

