아하
  • 토픽

  • 스파링

  • 잉크

  • 미션


의료상담

반가운곰159

반가운곰159

25.06.11

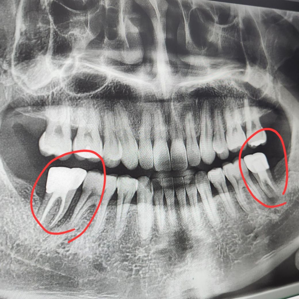
신경치료했던 어금니... 재신경치료 가능할까요?

신경치료하고 크라운 씌운 어금니 두 개인데

최근에 왼쪽 어금니 쪽에 고름이 살짝 잡혀서

엑스레이 찍어보니 염증이 관찰되었다네요

여러 치과 가보니

발치 후 임플란트 VS 재신경치료

이렇게 의견이 갈려서요 ㅠ

재신경치료해서 제 치아를 좀 더 살리는 방향이 나을 거 같은데

재신경치료 해보는 게 좋을까요?

  • 1번 째 사진

3개의 답변이 있어요!

  • 안상우 치과의사

    안상우 치과의사

    목동안치과의원

    25.06.13

    안녕하세요. 안상우 치과의사입니다.

    사진으로 봤을 경우에는 치아 주변에 생긴 염증이 커 보입니다. 오른쪽 아래에는 띠처럼 생기는 병소는 치아의 금이 같이 생겼을 수 있으며 왼쪽 아래의 경우에는 치아뿌리 쪽에 상대적으로 큰 염증이 보입니다. 제 신경치료를 시도해볼 순 있지만 이전의 증상이 완전히 없어지지 않을 수 있습니다.

  • 안녕하세요. 김철진 치과의사입니다.

    사진상으로 보면 재신경치료 시기는 지난거 같고 둘다 발치를 해야될정도로 치아 상태가 좋지 않은거 같습니다.

  • 안녕하세요. 최석민 치과의사입니다.

    지금 엑스레이상 이전 신경치료는 흠잡을데 없을 정도로 잘 되어 있습니다 재신경치료 한다고 지금보다 잘 될 것 같지는 않습니다. 또한 치아 자체뿐만 아니라 치주(잇몸) 상태도 좋지 않습니다.

    대학병원 보존과 가셔서 치근단 절제술도 상담받아보실 수 있으나 치아 살릴 확률은 낮습니다.