홈
토픽
스파링
잉크
미션
전문가 신청
베리몰
나도 질문하기
의료상담
기운찬하루
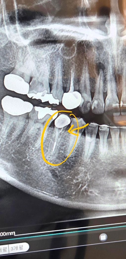
예전에 신경치료 했던 곳인데...
엑스레이를 찍어보니 하얀색 선도 없어지고
그 사이에 검은 색? 같이 뭐가 생겼네요...
치아 잇몸쪽에서 염증이 튀어나오고 있어요...
재신경치료하면 살릴 수 있을까요?
아님 무조건 임플란트인가요ㅠㅠ??
사진 보기
1개의 답변이 있어요!
최석민 치과의사
강원도 원주의료원
∙
안녕하세요. 최석민 치과의사입니다.
농양이 잡혀 고름이 나온다는 말같네요 재신경치료 내지는 치근단 절제술이 필요할 것 같고 발치도 염두해두어야겠습니다
평가
응원하기