아하
  • 토픽

  • 스파링

  • 잉크

  • 미션


의료상담

러블리한다향제비29

러블리한다향제비29

신경치료가 꼭 필요할까요? 신경치료하면 치야가 많이 약해지나요?

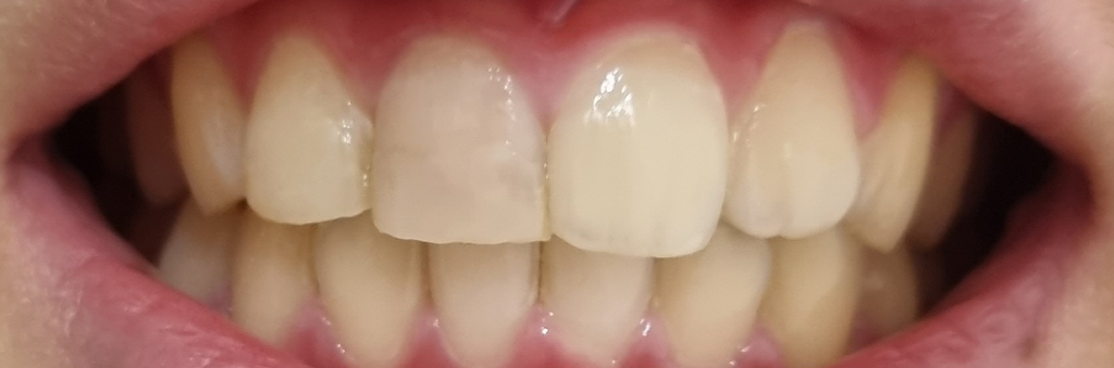
사진상으로 왼쪽 앞니는 신경치료가 필요한가요? 신경치료 후 실활치 미백 말고는 색을 밝힐 방법이 없나요? 신경치료하게 된다면 내구성이 많이 떨어질까요? 전기치수검사에는 반응하지 않는다고 하는데 얼음같은 차가운 걸 치아의 앞부분에 갖다댔을 때는 감각이 없고 치아의 뒤쪽 면 (입천장쪽)에 갖다대었을 때는 차가운 느낌이 드는 건 왜 그런건가요?



  • 1번 째 사진

6개의 답변이 있어요!

  • 안상우 치과의사

    안상우 치과의사

    목동안치과의원

    안녕하세요. 안상우 치과의사입니다.

    신경 치료는 치아 안에 있는 신경에 감염이 되었을 때 생기게 됩니다.

    치안의 신경은 경우에 따라서 생활력을 잃을 수도 있는데 생활력을 잃었다고 해도 감염이 되지 않았다면 신경치료를 하지 않는 경우도 있습니다. 자세한 확인을 위해서 치과에서 진료를 받아보는 것을 권유드립니다.

  • 안녕하세요. 최석민 치과의사입니다.

    1. 전기치수 검사(EPT)에서 반응을 하지 않았다는 것은 해당 치아의 내부 신경이 죽었음을 의미합니다.

    2. ice 테스트의 경우 주변 잇몸이나 옆 치아가 차가운 것에 반응을 하는 것일 수 있습니다.

    3. 신경에 문제가 생겨 치아 색이 검게 변한 경우는 실활치 미백 치료 외의 방법을 할 경우 미백 효과는 크게 없습니다.

  • 안녕하세요. 김철진 치과의사입니다.

    치아 삭제량이 많아질경우 하고나서 시리게되면 추가적으로 신경치료를 해야될 가능성이 있습니다. 신경치료 가능성이 높아서 처음부터 그냥 신경치료를 하자고 말한것같습니다.

  • 안녕하세요. 송우식 치과의사입니다.

    사진상으로 신경치료가 필요로 되는지 확인은 어렵습니다. 신경치료를 하게 되면 치아에 혈액 및 영양분이 공급되지 않아 치아가 약해지기에 크라운 치료가 필요로 됩니다.

    보다 정확한 상태 확인을 위해 치과 진료를 받길 권합니다.

    궁금증 해소에 도움이 되시길 바라며, 도움이 되신 경우 '추천' 부탁드립니다.

  • 안녕하세요. 정진석 치과의사입니다.

    사진만으로는 신경치료 여부를 판단하기 어렵습니다. 어떠한 원인으로 신경치료를 해야 하는지에 대해 먼저 알아야 정확한 답변을 할 수 있습니다.

    신경치료를 하더라도 치아 자체에 대한 내구성은 크게 떨어지지 않지만 신경치료 당시의 치질 삭제량이 크다면 크라운으로 보호해줘야 합니다.

    해당 치아가 실활치라고 하더라도 모든 신경이 죽지 않았거나 주변 신경이 반응하거나 검사 상 오류라면 전기 치수 검사에서 반응할 수 있습니다.

    아무쪼록 저의 답변이 문제 해결에 작게 나마 도움이 될 수 있기를 기원드립니다. 항상 건강하고, 행복하세요^^

    정진석 치과의사 드림

  • 안녕하세요. 김지훈 치과의사입니다.

    전기검사가 정확도가 더 높습니다. 차가운것이 잇몸에 닿여서 감각이 느껴진 것일 가능성도 있습니다.