의료상담

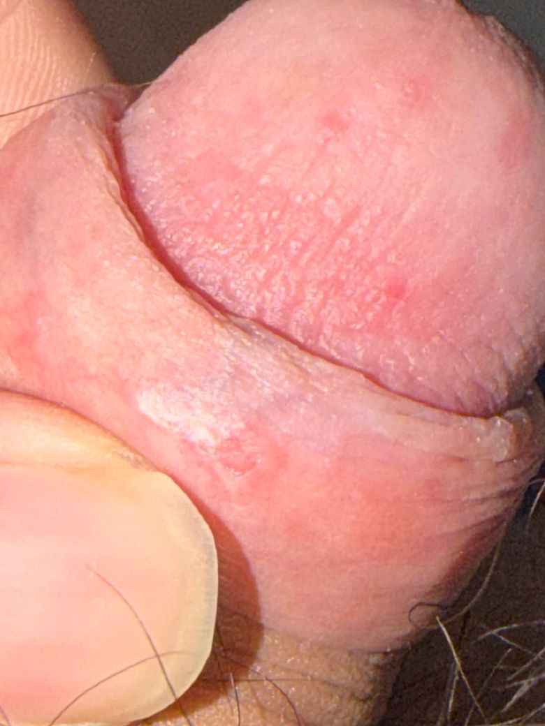
헤르페스 2형 궤양처럼 보이는게 있어요

성별

남성

나이대

20대

오늘 발견했고 마지막 성관계는 이틀전입니다 관계할 때 포경을 안해서 까지는게 많이 아프긴했는데 단순상처로 생길 수도 있나요? 만져도 아프지도 않고ㅠ가렵지도 않아요 도와주세요

  • 1번 째 사진
  • 2번 째 사진

2개의 답변이 있어요!

  • 안녕하세요. 최성훈 내과 전문의입니다.

    포경 수술을 하지 않은 경우, 성관계 시 발생하는 강한 마찰로 인해 포피가 뒤로 밀리면서 미세한 상처가 나거나 껍질이 벗겨질 수 있습니다. 따라서 통증이나 가려움이 없고, 단순히 피부가 쓸린 듯한 궤양 형태라면 마찰에 의한 '기계적 외상'일 가능성이 높습니다.

    다만 ​사람에 따라 헤르페스에 걸려도 무증상이나 약한 불편감으로 나타나는 경우도 있으며, 이틀 전 관계가 원인이라면 시기상으로 배제가 어렵습니다.

    그 외, 통증이 전혀 없는 궤양은 1기 매독의 전형적인 증상이기도 하므로 모르는 이성과 콘돔 사용 없는 위험한 관계가 있었다면 서둘러 ​비뇨기과를 방문하여 검사를 받을 것을 권합니다.

    당분간 비누를 과하게 사용하지 말고 미온수로 가볍게 씻은 뒤 잘 말리도록하고, 임의로 연고를 바르면 검사 결과에 영향을 줄 수 있으니 병원 방문 전까지는 자제하고 확진 전까진 성 관계도 피해야 하겟습니다.

    채택 보상으로 362베리 받았어요.

    채택된 답변
  • 어딜봐서 헤르페스 병변인지...? 다음부터는 충분한 전희 후 관계를 가지세요. 사진과 경과를 보면 헤르페스 2형 가능성은 낮습니다. 헤르페스는 보통 감염 후 2일에서 7일 사이에 여러 개의 물집이 군집 형태로 생기고, 터지면서 통증이 뚜렷한 궤양으로 진행하는 것이 전형적입니다. 현재처럼 단일 부위의 얕은 발적과 미세한 상처, 통증·가려움이 거의 없는 양상은 맞지 않습니다.

    오히려 말씀하신 것처럼 관계 중 마찰로 인한 표재성 찰과상 또는 자극성 피부염이 더 가능성이 높습니다. 특히 포경 상태에서 강한 마찰이 있었던 경우 이런 형태로 흔히 나타납니다.

    현재는 특별한 치료 없이도 자연 회복되는 경우가 많습니다. 자극을 줄이는 것이 가장 중요하며, 당분간 성관계와 마찰을 피하고, 순한 세정 후 완전히 건조시키는 것이 기본입니다. 필요하면 보습 연고 정도만 사용하면 충분합니다.

    다만 다음과 같은 변화가 있으면 재평가가 필요합니다. 물집이 여러 개 생기면서 번지는 경우, 통증이 점점 심해지는 경우, 궤양이 깊어지거나 고름이 생기는 경우입니다. 이런 경우에는 헤르페스나 세균 감염 가능성을 다시 봐야 합니다.

    현재 상태만 보면 급한 상황은 아니며, 외상성 변화로 보는 것이 타당합니다.