의료상담
55글자 더 채워주세요.
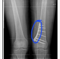
2개의 답변이 있어요!
안녕하세요. 유민혁 의사입니다.
평소에 일을 나눠서 하던 두 다리가 수술 이후가 한 다리 혼자 모든 무게를 지탱하며 일을 해서 무리가 되는 상황입니다.
뼈가 부러지는 경우는 흔치않으니 무리하지 않고 충분히 휴식하시는 것이 통증완화에 도움이 됩니다.
가능하면 목발을 짚고 다니셔야 왼다리에 무리가 안갑니다
안녕하세요. 신성현 의사입니다.
목발을 사용하지 않는 쪽의 다리에 추가적인 스트레스가 가해질 수 있습니다. 특히 체중이 100킬로그램이 넘는다면, 목발을 사용하는 동안 비수술 다리에 더 많은 체중이 실리게 되어 근육이나 관절에 무리가 갈 수 있습니다.

