아핫뉴스실시간 인기검색어
아핫뉴스 화산 이미지
아하

의료상담

치과

기운찬메추리271
기운찬메추리271

크라운한게 잘못되어서 재치료해야하는데 가능할까요?

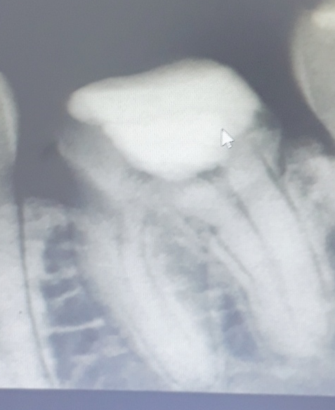
(이사진은 B병원에서 씌운 크라운)

A병원에서 어렸을때 크라운 씌운게있었는데요 (아무문제없이 치통도없고 잘지냈음)

B병원갔더니 너무 어렸을 때 한 거라 뿌리 모양이랑 안맞아서 교체하시자고해서

그대로 그냥 크라운 교체만 했습니다

B병원에서 신경치료를하지않은 치아였는데 신경치료 한줄알고 교체만하셨습니다

치통이 너무심해져서 다시찾아갔더니 답이없다 발치 혹은 임플란트해야한다 예약하시겠냐 하셔서;;

그냥 다른병원(C병원)을 가기로했거든요

근데 C병원에서 치아 x레이 찍은거보더니

치료를 왜 이렇게했지?? 왜 신경치료를 하지도않고 이래놨지.. 치료 하다말았어요?? 상태가이상한데.. 신경다죽소 뿌리끝에 염증있어서 이거 치료빨리해야할듯요

라고하셨습니다.. 그래서 신경치료 예약을 잡아두긴했는데

(크라운 벗겼을때 치아상태B병원 촬영)

문제는 이쪽이빨이 좀 많이썩어있었고 B병원에서 치료당시에 아이고 이빨이남아있는게 없네 라고하셨거든요

C병원에서도 제 크라운 벗겼을때 상태를모르니 그냥 신경치료 재치료하자 라고하신거라고생각이들어서요..

의사선생님들이 보기엔 이렇게 사진만봤을때 재치료가 가능해보이나요?

임플란트나 발치는 절대하고싶지않아서요..

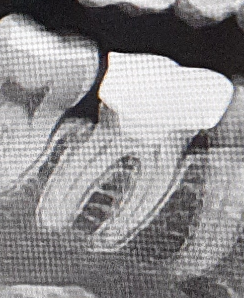
  • 1번 째 사진
  • 2번 째 사진
55글자 더 채워주세요.
2개의 답변이 있어요!
  • 안녕하세요. 김철진 치과의사입니다.

    신경치료를 다시 하셔서 기둥세우고 크라운 치료를 하실수 있을것같습니다. 치료를 받으시는게 좋을것같습니다.

  • 안녕하세요. 김지훈 치과의사입니다.

    개인적인 소견으로는 살리기 힘들어 보이기는 합니다. 그래도 신경치료를 해서 살리자고 했으니 최대한 치료를 해보시는게 좋겠습니다.

PC용 아하 앱 설치 권유 팝업 이미지장도연이 추천하는 아하! 앱으로 편리하게 사용해 보세요.
starbucks
앱 설치하고 미션 완료하면 커피 기프티콘을 드려요!