아하
  • 토픽

  • 스파링

  • 잉크

  • 미션


의료상담

그런대로현대적인막국수

그런대로현대적인막국수

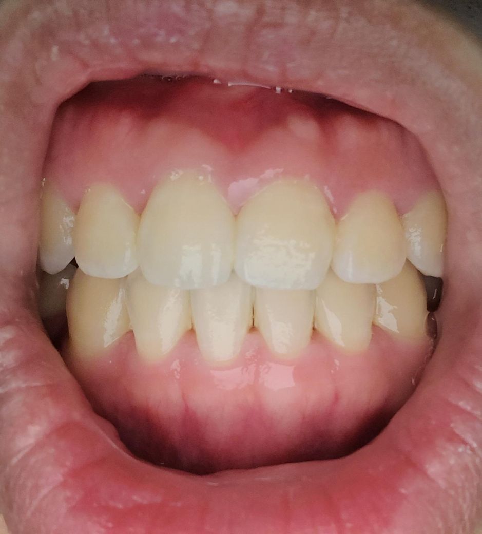
잇몸에 화상을 입었습니다. 흰 색 부분은 뭘까요?

2주 전 쯤에 달걀을 먹다가 달걀이 폭발해 입에 화상을 입었습니다. 초기에는 입술이 갈색으로 변하고 딱딱해지기도 하였지만, 지금은 거의 완치됐습니다. 그러나 잇몸은 초기에 붉고 흰색 껍질이 생겼고, 현재에도 사진에서 보이듯이 아직 잇몸 위에 흰색이 남아 있습니다. 흰 색이 없어진 부분도 있지만, 2주 가까이 지났는데 흰 색이 남아 있는 게 역시 걱정이 됩니다. 이건 어떤 증상인 걸까요?

순서가 조금 이상하지만

첫 번째 사진이 6월 12일

6번 째 사진이 17일

5번 째 사진이 18일

4번 째 사진이 20일

3번 째 사진이 21일

2번 째 사진이 가장 최근입니다

  • 1번 째 사진
  • 2번 째 사진
  • 3번 째 사진
  • 4번 째 사진
  • 5번 째 사진
  • 6번 째 사진

2개의 답변이 있어요!

  • 김철진 치과의사

    김철진 치과의사

    가까운우리치과

    안녕하세요. 김철진 치과의사입니다.

    아직 화상으로 인한 상처가 다 아물지 않아서 구내염 처럼 잇는거 같으니 자극만 가지 않도록 해주시면될것같습니다.

  • 안녕하세요. 최석민 치과의사입니다.

    잇몸도 결국 상피 세포이므로 화상 치유 과정중에 염증과 물집이 잡힌 것 같습니다 구강내과가서 적절한 연고 처방받으시기 바랍니다