아하
  • 토픽

  • 스파링

  • 잉크

  • 미션


의료상담

터프한상괭이120

터프한상괭이120

채택률 높음

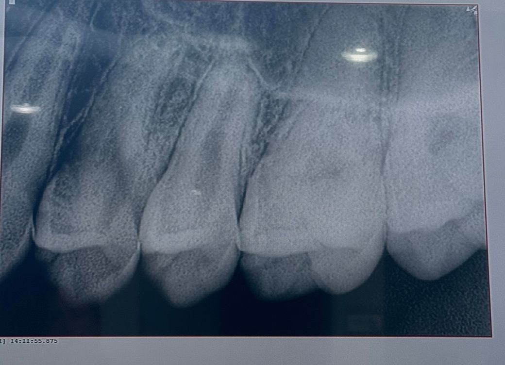
인접면 충치인지 궁금합니다……….

25~26 치아고 첫번째, 세번째 사진이 최근 두번째 사진이 올해 2월 입니다 인접면 충치가 맞는지 얼마나 진행되었는지 궁금합니다

  • 1번 째 사진
  • 2번 째 사진
  • 3번 째 사진

4개의 답변이 있어요!

  • 김지훈 치과의사

    김지훈 치과의사

    메가

    안녕하세요. 김지훈 치과의사입니다.

    엑스레이 상에서 명확히 관찰되지는 않는 것으로 보이며 관리 하면서 지켜봐도 될 것 같습니다.

  • 안녕하세요. 김철진 치과의사입니다.

    엑스레이 상으로는 인접면 충치가 심해 보이진 않으니 일단은 관리를 해서 사용해보셔도 될것같습니다.

  • 안녕하세요. 최석민 치과의사입니다.

    25~26 치아고 첫번째, 세번째 사진이 최근 두번째 사진이 올해 2월 입니다 인접면 충치가 맞는지 얼마나 진행되었는지 궁금합니다 -> 25,26 사이 인접면 충치 크게 문제 없어 보입니다

  • 안녕하세요. 안상우 치과의사입니다.

    사진으로 봤을 경우에는 인접면에 어두운 면이 보입니다. 충칠 가능성이 높지만 정확한 확인은 육안으로 확인을 해봐야 알 수 있을것으로 생각됩니다.

    자세한 확인을 위해서 치과에서 진료를 받아보는 것을 권유드립니다.