의료상담
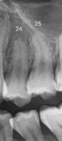
24번 25번 치아 충치있나요 파노라마
24번 25번치아 인접면에 충치있나요 있다면 치아당 왼쪽에있는지 오른쪽에 있는지 아니면 양쪽에있는지 상세히 알려주시면 감사하겠습니다
55글자 더 채워주세요.
3개의 답변이 있어요!
안녕하세요. 안상우 치과의사입니다.
24번과 25번 사이에 인접면 충치가 있는 것처럼 방사선상에서는 보이고 있습니다.
하지만 자세한 확인을 위해서는 조금 더 치아에 평행이 되어 사진을 찍는 것이 좋으며 육안으로도 확인이 가능해야 할 것으로 생각됩니다 자세한 확인을 위해서 치과에서 진료를 받아 보세요
안녕하세요. 김철진 치과의사입니다.
치아 사이에 충치가 잇는것처럼 보입니다. 치아 상태에 따라서 레진 또는 인레이 치료를 하셔야될수도 잇을것같습니다.
안녕하세요. 최석민 치과의사입니다.
인접면 충치는 이렇게 치아끼리 겹쳐있는 사진, 특히 해상도가 낮은 파노라마 방사선 사진으로는 판별이 쉽지 않습니다. 교익 방사선 사진 (작은사진)이 필요합니다.

