의료상담
사랑니 발치해야 하는지 궁금합니다.
안녕하세요
위쪽 사랑니부터 발치를 할까 하는데 꼭 발치를 해야 할 상황인가요? 아님 좀 더 상황을 지켜보다 뽑아도 되는지 궁금합니다!
55글자 더 채워주세요.
4개의 답변이 있어요!
안녕하세요. 김지훈 치과의사입니다.
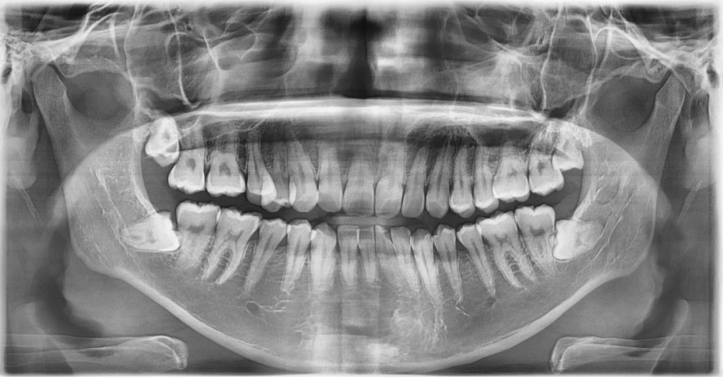
현재 사랑니가 큰 문제는 아니지만 추후에 문제를 일으킬 가능성은 높아보여 빼는 게 좋겠습니다.
1명 평가안녕하세요. 안상우 치과의사입니다.
사랑니가 완전히 매복되어 있다면 발치를 할 필요는 없습니다. 하지만 사랑니가 부분적으로 나와있거나 해서 주변조직에 문제를 발생시킬수 있다면 발치를 해주는 것이 좋습니다.
1명 평가안녕하세요. 송준범 치과의사입니다.
지금 당장 아프거나 불편한게 아니라면 일단 조금 더 지켜보셔도 되겠습니다만 맹출 방향이나 위치가 사진상으로 보기에는 앞에 있는 어금니의 충치를 유발하거나 잇몸염증을 유발하기 쉬운 상태라 뽑아주시는 것도 좋겠습니다. 젊었을땐 뼈가 탄성도 좋고 치유도 잘되기 때문입니다.
1명 평가안녕하세요. 최석민 치과의사입니다.
전반적으로 사랑니가 옆 어금니에 영향을 줄 가능성도 있고, 위생관리도 어려운 양상이긴 합니다 발치가 아주 급하고 그러진 않으나 빼면 좋을것 같습니다
1명 평가

