아하
  • 토픽

  • 스파링

  • 잉크

  • 미션


의료상담

유망한무당벌레250

유망한무당벌레250

혓바닥 아래 상태가 정상인가요???

성별

남성

나이대

27

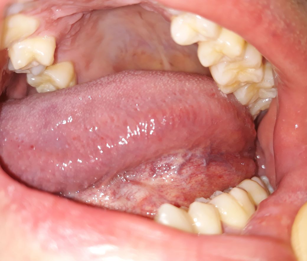
양치하다가 혓바닥 옆쪽 아래를 봤는데 잔핏줄도 많이 보이고 중간에 색깔도 군데군데 누런거같기도한데 만져보니깐 부드럽고 통증이나 불편한건 없습니다. 괜찮은건가요?

  • 1번 째 사진
  • 2번 째 사진
  • 3번 째 사진
  • 4번 째 사진
  • 5번 째 사진
  • 6번 째 사진
  • 7번 째 사진
  • 8번 째 사진

2개의 답변이 있어요!

  • 서민석 의사

    서민석 의사

    가톨릭대학교 인천성모병원 가정의학과

    안녕하세요. 서민석 의사입니다.

    입 구석구석을 살펴보셨네요. 사진 올려주신 것만 봐서는 특별한 이상은 없어 보입니다. 증상도 없으니 괜찮다고 보셔도 되구요.

  • 안녕하세요. 강성주 의사입니다.

    특별히 현재 통증 및 이물감 등이 있는 것이 아니라면 이상소견으로 보지는 않습니다.

    만약 증상발생시는 치과에 내원해 보시는 것을 추천드립니다.

    감사합니다.