아하
  • 토픽

  • 스파링

  • 잉크

  • 미션


의료상담

꽤조심스러운계란말이

꽤조심스러운계란말이

25.04.13

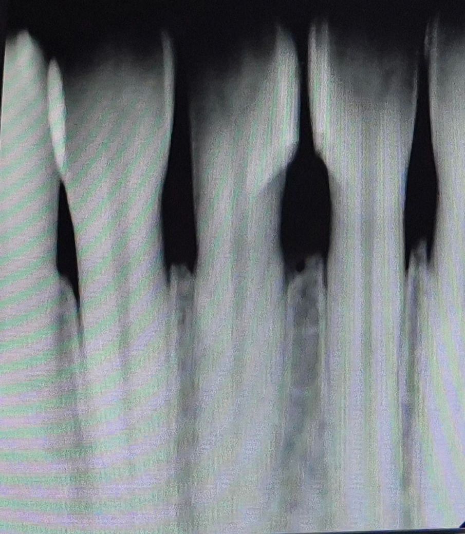
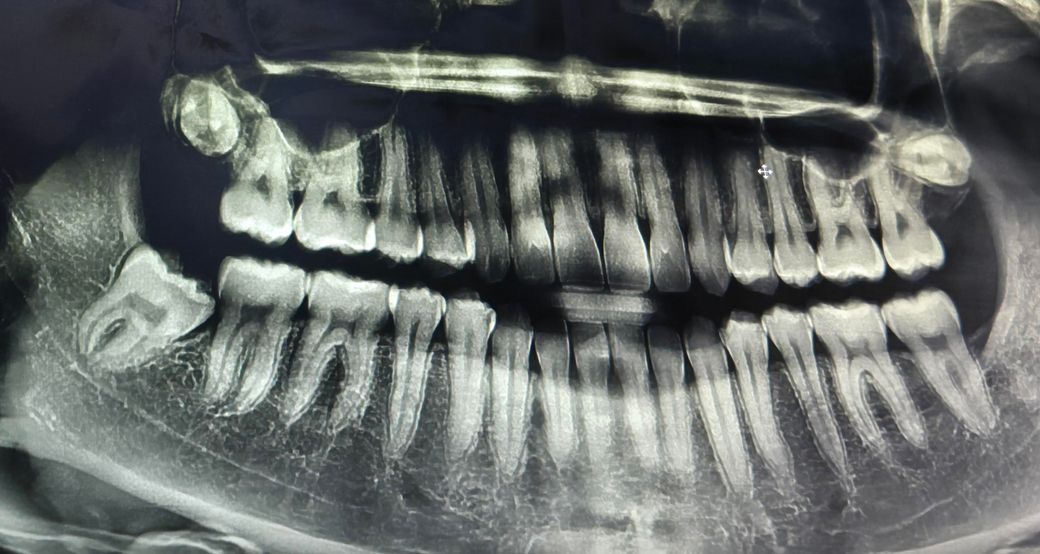
25살 잇몸뼈 상태 심각한가요???

아래앞니 쪽이 아파서 두 치과에 갔는데

첫번째 치과에서는 잇몸뼈만 조금 내려갔다고 하고 염증이나 충치도 아예 없고 아래앞니쪽 치석이 있는 편이니 스케일링만 받으면 된다고 했어요.

두번째 치과에서도 아래앞니에 문제는 없고 아레앞니 잇몸이 약한 편이니 양치질만 살살 하라고 하더라고요.

질문 1번. 25살 치고 잇몸뼈 상태가 많이 안 좋은 편인가요? 신경치료할까봐 너무 두렵습니다.

치과 트라우마가 있어서 평소 이도 잘 닦고 치실도 잘하는 편인데.. 너무 속상하고 걱정됩니다.

질문 2번. 스케일링 후에 아래앞니쪽이 계속 시린데 치아로겔 약을 발랐습니다. 그래도 불편한 느낌이 계속 드는데 다시 치과에 가봐야 할까요?

*참고로 아래앞니는 미관상 안 좋아서 중절치 2개를 레진으로 떼운 적이 있습니다 약 8년 정도 되었는데 레진 상태도 양호하다고 합니다.

  • 1번 째 사진
  • 2번 째 사진
  • 3번 째 사진

3개의 답변이 있어요!

  • 안상우 치과의사

    안상우 치과의사

    목동안치과의원

    25.04.13

    안녕하세요. 안상우 치과의사입니다.

    사진으로 봤을 경우에는 크게 문제가 되어 보이지는 않습니다. 치아는 지금처럼 관리를 잘 해주면 될것으로 생각됩니다.

  • 안녕하세요. 김지훈 치과의사입니다.

    25살 치고 잇몸뼈 상태가 안 좋은 편은 맞으며 불편한 느낌이 계속 드는 경우 가보시는 게 좋습니다.

  • 안녕하세요. 김철진 치과의사입니다.

    다른 치아들의 잇몸뼈는 괜찮은데 앞니의 경우는 잇몸뼈가 나이에 비해서 많이 내려간거 같습니다. 정기적으로 치과를 다니면서 관리를 받으시는게 좋을것같습니다.