뿌리 염증 옆치아로 번졌을까요?
10월 쯤에 대학병원에서 맨 앞쪽 앞니 치근단염 진단받고 신경치료하는걸로 3개월 뒤에 예약 잡았습니다
그때 옆치아로 번지고 있다고 말씀을 해주시긴 했는데 간호사분이 3개월 안으로 염증이 심해지지는 않는다고 얘기해주셔서 그냥 지내고 있었습니다
다만 최근들어 번지고 있다는 옆치아가 약간씩 미약한 통증이 생기기 시작했습니다. 지난 달에 다른 치과에서 엑스레이를 찍었는데 그때는 상관없다곤 하셨지만요..
딱 한달 남았는데 지금 당장이라도 대학병원 예약 취소하고 다른 치과가서 치료받는게 좋을까요?
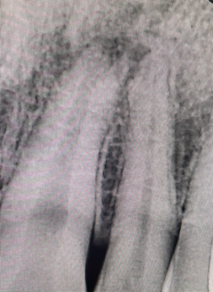
사진은 한달 전에 찍은 엑스레이 사진입니다
안녕하세요. 안상우 치과의사입니다.
치근단의 옆에 있는 치아의 뿌리쪽은 현재 사진상으로는 이상이 없어보입니다.
염증이 진행되면서 통증을 유발하게 되면 옆의 차아가 불편하게 느겨지는 경우도 있어요.
정확한 확인을 위하여 치과에서 자세한 진료를 받아보시길 권장 드립니다.
안녕하세요. 정진석 치과의사입니다.
옆에 치아 쪽으로 염증이 붙어 있는 것은 맞으나 지금으로서는 치료 이후에 옆에 치아도 치료를 해야할지, 정상적으로 회복될지는 상당히 애매한 위치라고 보여집니다. 너무 불안하시다면 대학병원이 아닌 일반 치과에서도 충분히 치료를 할 수 있으므로 방문해보는 것도 한 방법입니다.
아무쪼록 저의 답변이 문제 해결에 작게 나마 도움이 될 수 있기를 기원드립니다. 항상 건강하고, 행복하세요^^
정진석 치과의사 드림
안녕하세요. 김철진 치과의사입니다.
치근단에 염증이 잇고, 증상이 잇다면 빨리 신경치료를 하시는게 좋을것같습니다. 3개월전에라도 아프시면 빨리 신경치료를 받으시는게 좋을것같습니다.
안녕하세요. 김지훈 치과의사입니다.
신경치료를 대학병원에서 꼭 받으셔야 하면 말씀들으신대로 진행하시면 되고 아니라면 일반 치과에서 빨리 받는 것도 괜찮습니다.
안녕하세요. 장인아 치과위생사입니다.
대학병원 예약 취소는 하지말고, 우선 다른 치과 방문해서 확인하면 좋을것같습니다.
도움이 되기를 바랍니다. 건강하세요.

