의료상담
요로결석 체외충격파 문의드립니다.
성별
남성
나이대
35
오전 10시40분쯤 왼쪽 옆구리가 뜯어지는 느낌이 들었고 참을만한 통증이였으며
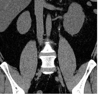
집앞 내과 방문후 ct찍고 요로결석 판정을 받고나서 ct 자료 들고 강동성심병원에 연계되어 갔습니다
무조건 수술 2박3일 입원해야한다 고합니다 일단 자연배출 한다고 하고 2주 약만 받고 집에 갔습니다
오후 19시~20시쯤 통증이 없어졌습니다
(처방받은약 하루날디정0.2 , 유로시트라케이, 티로파정, 아세클정, 동아가스터정)
2주동안 30분~1시간 마다 500ml 물 섭취 30분마다 소변배출 했으며
2주후 강동성심병원에서 ct, 소변검사 진행했으며 소변검사 이상없음 ct에선 결석위치 변동없음
혈뇨나 통증은 없으며 무조건 수술해야된다 크기 물어보니 4mm 이며 자연배출 하겠다고 하고 한달 약처방받앗습니다
처방받은약 하루날디정0.2, 유로시트라케이
체외충격파 안된다고하는데 문의드립니다
55글자 더 채워주세요.
1개의 답변이 있어요!
안녕하세요. 아하(Aha) 의료분야 답변자 외과 전문의 배병제입니다.
요로결석으로 많이 힘드시겠습니다.
통증이 참을만하여 자연배출을 고집하시는 것 같으나 2주간 전혀 변화가 없다면 자연배출이 어렵다는 것을 의미합니다.
체외충격파가 어렵다는 소견을 들으셨는데 그래도 문의를 원하신다면 다른 비뇨의학과를 방문해보시기 바랍니다.
저의 답변이 도움이 되셨길 바랍니다.

