아하
  • 토픽

  • 스파링

  • 잉크

  • 미션


의료상담

운좋은가오리23

운좋은가오리23

25.05.21

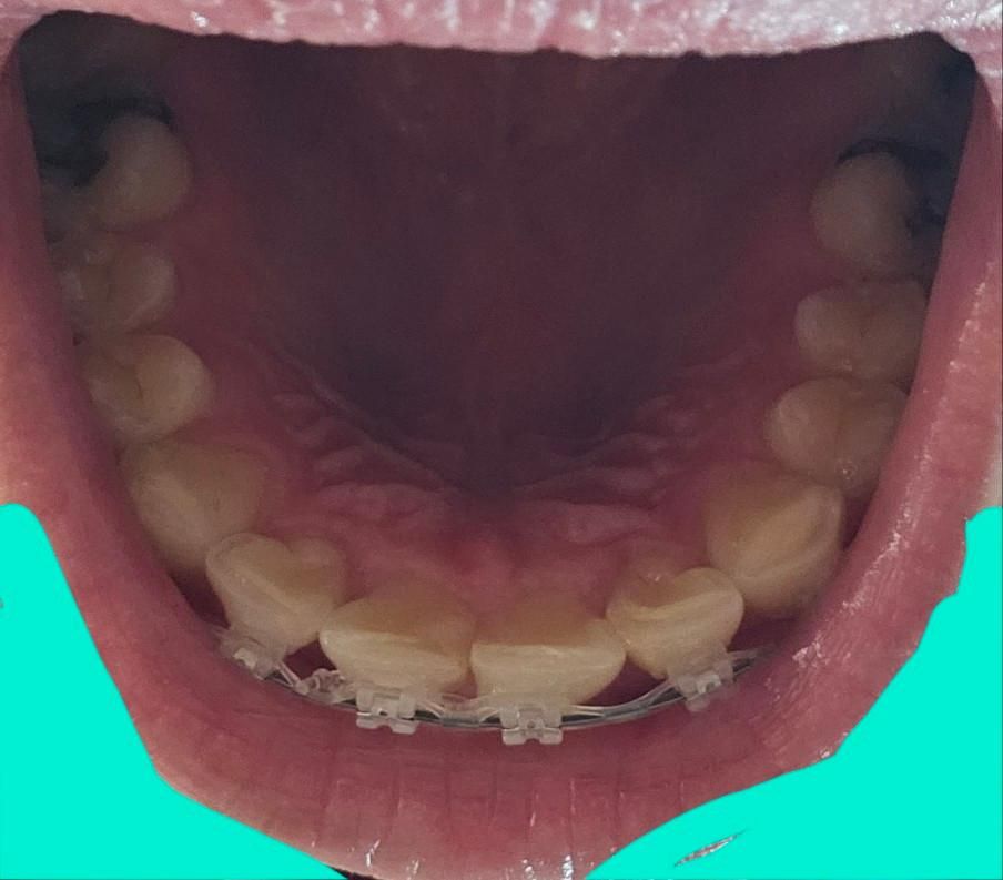
치아교정 윗 치아 배열 괜찮은건지 좀 봐주세요.

[근거리]

[중거리]

[원거리]

[정면]

아랫 치아가 아니라 '윗치아' 입니다.

근거리~원거리는 카메라 거리 입니다. 근거리는 휴대폰 카메라를 입에 대고 찍은거고 중, 원거리는 점점 멀리서 찍은거예요. 저렇게 여러장 찍은 이유는 거리마다 치아 원근감이 달라져서 객관적인 평가를 받고 싶어서예요.

치아 교정 마무리 단계인데, 치아 배열이 괜찮게 나온건가요?

왠지모르게 삐뚤어 보여서.. 인터넷에 검색하면 되게 정렬 잘돼있어보이는데 제 치아는 뭔가 애매해보여서요.

그리고!

윗 앞니의 경우 보시면 아랫면이 약간 /\ 이런식으로 각도가 져야하는거로 알고있는데 저는 ㅡㅡ 이렇게 완전 일자로 돼있는데, 이것도 정상인가요?

제가 알기론, 앞니도 살짝 완만하게 돼서 말발굽 모양으로 전체적으로 곡선으로 돼야 하는거로 알고있는데..

  • 1번 째 사진
  • 2번 째 사진
  • 3번 째 사진
  • 4번 째 사진

2개의 답변이 있어요!

  • 김철진 치과의사

    김철진 치과의사

    가까운우리치과

    25.05.21

    안녕하세요. 김철진 치과의사입니다.

    교정의 경우 치아 배열도 중요하지만, 교합관계도 같이 봐야되서 무작정 치아만 바르게 배열하는건 올바른 교정은 아닙니다. 사진상으로 배열은 크게 문제가 된건 아닌거 같습니다.

  • 안녕하세요. 최석민 치과의사입니다.

    1. 지금 배열도 나쁘진 않습니다.

    2. 다만, 좀 더 이상적인 배열을 원한다면 11,12번 부분교정을 시도해보는 것도 좋을 것 같습니다.