아하
  • 토픽

  • 스파링

  • 잉크

  • 미션


의료상담

조용한도마뱀214

조용한도마뱀214

25.01.21

어금니 부근 약간의 통증 구강암일까요?

성별

남성

나이대

25

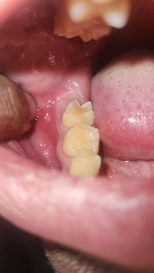
저 동그라미 친 부위가 구강암이거나 구강암으로 갈 수 있는 증상일까요?

입을 오므리거나 이빨과 닿거나 하면 심하진 않지만 약간의 통증이 있습니다.

구내염일수 있단 생각도 들고 직업상 무리한 일을 하다보니 편하게 자거나 쉴 시간이 많지는 않은데 그래도 저 혼자 판단하기엔 확실치 않아 질문 올립니다.

  • 1번 째 사진
  • 2번 째 사진

1개의 답변이 있어요!

  • 최성훈 내과 전문의

    최성훈 내과 전문의

    고려병원

    25.01.21

    안녕하세요. 최성훈 내과 전문의입니다.

    올려주신 사진으로 미루어 구내염이 더 생각되며 음식물을 씹으며 치아로 인한 상처의 가능성도 있겠습니다.

    구강 점막 병변의 경우 충분한 휴식과 영양 섭취만으로도 잘 낫지만 음주, 흡연, 자극적이거나 지나치게 뜨거운 음식물의 섭취는 회복을 지연 시킬 수 있으므로 피하고 통증이 심하다면 구내염 연고를 바를 것을 권합니다.