의료상담

귀속에 하얀 막 같은게 생겼습니다 사진

성별

남성

나이대

24

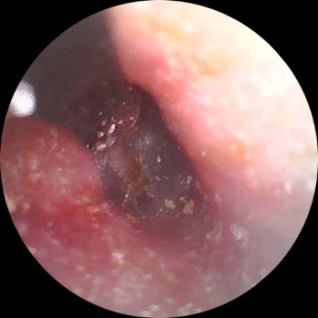
귀를 자주 파는데 귀내시경같은거로 한번 확인해보니까 귀에 하얀 막 같은게 생겼어요

이게 뭘까요 혹같은게 부풀어오른걸까요?

위치상 고막같진 않은데 혹시 고막인가요?

  • 1번 째 사진
  • 2번 째 사진

1개의 답변이 있어요!

  • 안녕하세요. 최성훈 내과 전문의입니다.

    올려주신 사진이 또렷하지 않아 제한적이나 투명하게 보이는 막은 고막의 가능성이 매우 높겠습니다.

    귀를 자주 팔 경우 외이도염의 원인이 되며 귀지 생성이 더 증가할 수 있습니다.

    귀지는 파내지 않더라도 서서히 저절로 배출되므로 손을 대지 말기 바랍니다.