의료상담

치아 뿌리 염증 및 치료에 대한 질문입니다.

30대 중반 남성입니다. 10여년 전 신경치료 후 크라운을 씌었던 16번 치아 근처에 염증에 생겼습니다. 대략적 증상 개요는 다음과 같습니다.

5월 둘째~셋째주 : 인후염 후 코감기 증상 2주 정도 지속 - 가래, 누런 콧물 등 증상

5월 23일경 : 기상 후 갑자기 16번 치아 근처 통증 느껴짐(씹을 때만 통증, 치아와 잇몸 사이가 조금 팽창한 것처럼 느껴졌고, 씹을 때 16번 어금니가 26번 보다 먼저 닿는 느낌 생김)

5월 24일 : 로컬 치과 방문, 단순잇몸염 의심된다며 치석 제거 등 받음.

그 후 오히려 통증이 더 심해지며 잇몸 위로 퍼지다가 5/27경 얼굴이 심하게 부음

5/29 : 로컬 치과 재방문. 잇몸 일부 절개 및 고름 제거, 항생제 처방

5/31 : 녹색 콧물 나오는 증상으로 이비인후과 방문 후 부비동 CT검사

6/5 : 검사 판독 후 부비동염은 치과적 원인으로 보이며, 16번 치아는 크라운 아래로 다 썪어 휑하게 뚤렸을 것 같다며 구강외과 협진의뢰.

이번주 : 구강외과 진료. 크라운 상태나 잇몸은 괜찮은 것으로 보이나, 뿌리염증은 저절로 사라지지 않으니 보존과에서 재신경치료하거나 구강외과에서 임플란트 진행하라고 권유.

원래는 종합병원 치과에 정기적으로 다니고 있었는데, 갑자기 통증이 시작되어 급하게 로컬에서 진료를 받았습니다. 주말에 얼굴이 엄청 붓고 통증이 심해 입을 못벌릴 정도였는데 다행히 첫방문했던 로컬에서 공휴일에도 진료를 해서 고름 제거 등을 받았습니다. 일주일 정도 항생제와 소염제 먹으며 증상은 완전히 나아졌습니다.

다만 축농증 증세로 방문한 이비인후과에서 부비동CT 판독후, 치아가 완전히 썪어 뻥 뚤린 것 같다며, 같은 종합병원 치과에 협진의뢰를 넣어서 진료를 받았습니다.

구강외과 의사는 일단 크라운 안은 정확히 알 수 없지만 그 아래로는 상태는 괜찮은 것 같고 크라운도 빈틈없이 잘 붙어있고 잇몸 상태도 좋다고 합니다. 다만 뿌리 염증은 언제든지 재발할 수 있으니 당장 치료를 하는 게 좋아 보이고 재신경치료나 발치 후 임플란트를 두 가지 선택지 중 택하라고 합니다.

여기에서 두 병원이 안내가 조금 갈리는데요.

첫 방문한 로컬에서는 뿌리염증이 조금 남아있지만 당장 증상이 없으면 관리를 잘 하며 지내다가, 증상이 재발할 때마다 적절히 처치하고, 최후의 상황일 때 발치 후 임플란트를 진행하자. 재신경치료는 시도는 해볼수 있지만 성공률이 높지 않고, 번거로우며, 크라운을 제거했을 때 치아 뿌리에 균열이 있다면 어차피 발치를 해야해서 불필요한 치료가 될 수도 있으니 임플란트가 낫겠다, 는 입장이었습니다.

즉 , 버틸 때까지 버티며 대증 치료하다가 발치 후 임플란트

VS 지금 바로 재신경치료 임플란트 중 선택해서 진행

이런 상황입니다.

궁금한 점은 우선

1. 뿌리 염증이 있는 상태에서 특별한 증상이 없는 상태에서 기다리는 게 악영향이 있을까요?

그대로 놔두면 주변 치아 조직이나 잇몸, 뼈 등에 악영향이 있는지 하는 점입니다. 종합병원 의견대로 바로 재신경치료를 해보려고 크라운을 뜯었는데 크랙이 있어서 발치를 해야 한다든가 하면, 차라리 로컬 의견대로 당분간 그대로 지내는 게 나을 것 같기도 하고요. 다만 통증이 없더라도 다른 곳이 나빠진다면 리스크를 무릅쓰고라도 치료를 바로 들어가야할 것 같아서요.

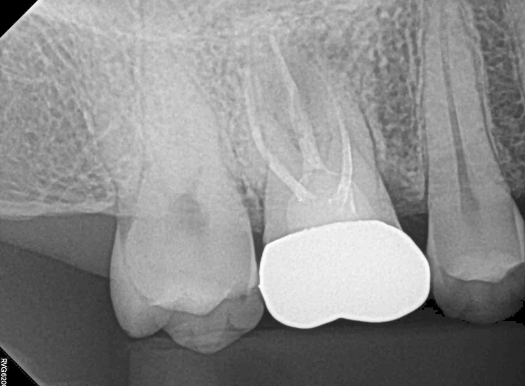
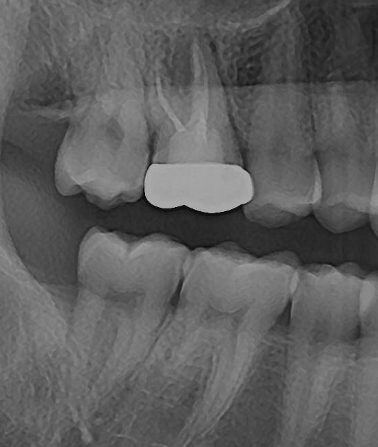
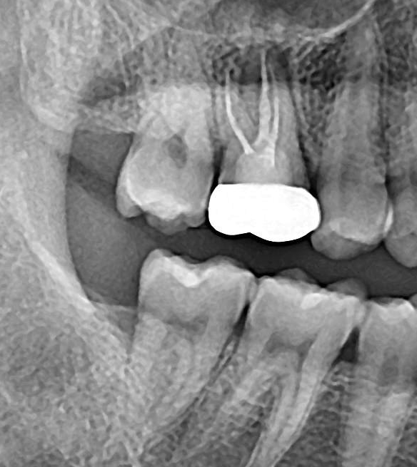
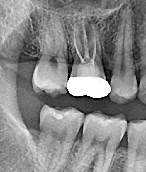
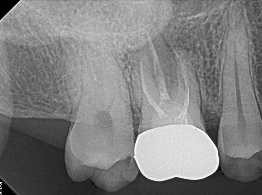
2. 두 치과 모두 뿌리염증이 있다고만 하고 어느 정도인지는 구체적으로 설명을 안 해줬습니다. 사진 상으로 어떤 정도인지 궁금합니다(비교용으로 그간 찍었던 사진을 같이 첨부했습니다) 최근 파노라마를 보면 오른쪽 신경 옆쪽으로 약간 검은 음영이 있는데 이게 뿌리 염증일까요?

그리고 최근 치근단 사진을 보면 신경에서 하얗게 치료된 부분 위로 검은 부분이 보이는데 신경치료가 완전하게 되지 않은 게 맞을까요?

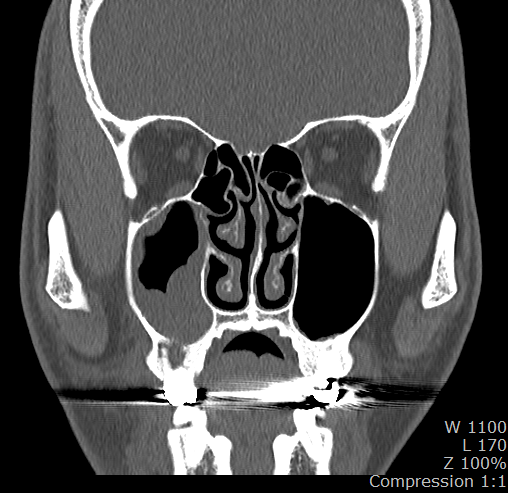
3. 파노라마나 CT를 보면 16번 치아 뿌리쪽과 부비동쪽 둥그런 구조물 사이가 검게 음영이 생겨 있는데 이게 구조물의 영구적 손상이 있는 걸까요? 아니면 치료 후에 다시 회복되는 걸까요?

4. 음주가 염증에 안 좋다고 하는데요. 원래 거의 안 마시긴 하지만, 회신 자리에서도 최대한 사양하려고 하는데, 뿌리염증 있을 때도 음주는 안 좋겠죠?

참고 사진들

2017년 파노라마

2019년 파노라마

2022년 7월 파노라마

2022년 8월 치근단

23년 6월 파노라마, 치근단

23년 5월 부비동CT

  • 1번 째 사진
  • 2번 째 사진
  • 3번 째 사진
  • 4번 째 사진
  • 5번 째 사진
  • 6번 째 사진
  • 7번 째 사진
  • 8번 째 사진

2개의 답변이 있어요!

  • 안녕하세요. 김철진 치과의사입니다.

    1. 뿌리 염증이 있는 상태에서 특별한 증상이 없는 상태에서 기다리는 게 악영향이 있을까요?

    -염증이 퍼지게되면 다른치아에도 영향을 주고 주변 잇몸뼈도 녹을수 있습니다.

    2. 두 치과 모두 뿌리염증이 있다고만 하고 어느 정도인지는 구체적으로 설명을 안 해줬습니다. 사진 상으로 어떤 정도인지 궁금합니다(비교용으로 그간 찍었던 사진을 같이 첨부했습니다) 최근 파노라마를 보면 오른쪽 신경 옆쪽으로 약간 검은 음영이 있는데 이게 뿌리 염증일까요?

    그리고 최근 치근단 사진을 보면 신경에서 하얗게 치료된 부분 위로 검은 부분이 보이는데 신경치료가 완전하게 되지 않은 게 맞을까요?

    -사진상으로 보면 재신경치료를 하시는것보다는 발치를 해야될 가능성이 높아 보이네요.

    3. 파노라마나 CT를 보면 16번 치아 뿌리쪽과 부비동쪽 둥그런 구조물 사이가 검게 음영이 생겨 있는데 이게 구조물의 영구적 손상이 있는 걸까요? 아니면 치료 후에 다시 회복되는 걸까요?

    -저부위는 염증때문에 펴가 녹아서 나타나는 부분으로 발치후 어느정도 기다리면 뼈가 차긴찹니다.

    4. 음주가 염증에 안 좋다고 하는데요. 원래 거의 안 마시긴 하지만, 회신 자리에서도 최대한 사양하려고 하는데, 뿌리염증 있을 때도 음주는 안 좋겠죠?

    -과음을 하시는경우 컨디션이 안좋아지면 염증이 더 커질수 있으니 과음피해주시는게 좋습니다.

  • 안녕하세요. 안상우 치과의사입니다.

    치아 뿌리에 염증이 생기는 원인은 신경관 안에 감염이 되었기 때문입니다.

    고름을 제거하는것 이외에 재 신경치료를 통해서 신경관안을 다시 소독을 하게 되면 염증이 줄어드는 경우도 있습니다.

    치과보존과에서 진료를 받아 보세요.