아하
  • 토픽

  • 스파링

  • 잉크

  • 미션


의료상담

최고로참을성있는기린

최고로참을성있는기린

저의 치아는 교정 해야하는 유형인가요?

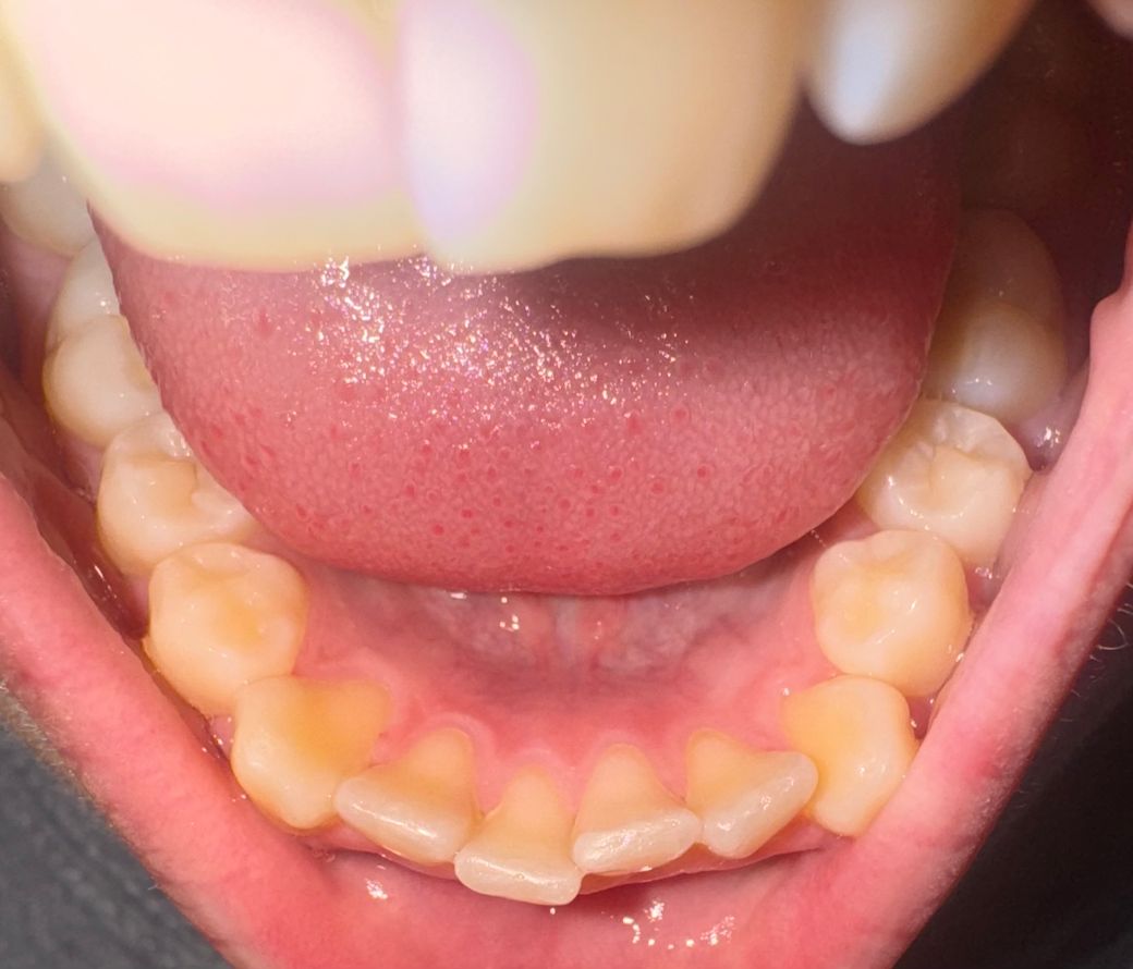
제목 그대로 요즘 치아가 너무 안 예뻐보여서 교정을 하고 싶거든요? 아랫니가 엄청 삐뚤해요 배열도 그렇고 그리고 앞니도 좀 삐뚤하고요 웃을때마다 괜히 계속 가리고 웃는것도 싫고요 만약 이런 치아 교정한다면 비용은 얼마정도 나올까요?

  • 1번 째 사진
  • 2번 째 사진
  • 3번 째 사진
  • 4번 째 사진
  • 5번 째 사진
  • 6번 째 사진
  • 7번 째 사진

2개의 답변이 있어요!

  • 최석민 치과의사

    최석민 치과의사

    강원도 원주의료원

    안녕하세요. 최석민 치과의사입니다.

    부분교정 케이스에 해당할 수도 있을 것 같습니다. 부분교정 비용은 150~200, 전체교정은 300~500입니다

  • 안녕하세요. 김철진 치과의사입니다.

    사진상으로는 치열이 크게 나쁜거 같진 않습니다. 정확한건 치과에 가셔서 교정진단을 받아보시고 상담을 하시는게 좋을것같습니다.