의료상담
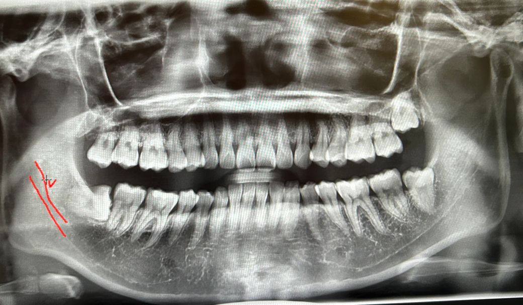
사랑니, 신경이랑 많이 가까울까요..?
최근에 왼쪽 상/하악 사랑니 발치했습니다.
왼 쪽 하악이 신경이랑 가까워서 꽤나 속썩였는데요, 왼쪽 해결하고나니 오른쪽이 눈에 들어옵니다..
오른쪽 상/하악 신경이랑 많이 가까울까요...?ㅠ
55글자 더 채워주세요.
6개의 답변이 있어요!
안녕하세요. 김철진 치과의사입니다.
정확한건 CT를 찍어보고 판단을 하겟지만 엑스레이 상으로는 신경관과 거리가 어느정도는 잇을것같으니 너무 걱정하지마세요.
안녕하세요. 안상우 치과의사입니다.
오른쪽 아래에 기울어진 사랑니 치아의 경우에는 신경관과 치아는 파노라마 상으로도 띄어져 있기 때문에 신경 손상의 가능성이 클 것으로 생각되진 않습니다.
사랑니가 기울어져 나서 주변 채 문제를 발생시킬 수 있다면 치아를 발치해주는 것이 좋습니다.
안녕하세요. 김지훈 치과의사입니다.
사랑니와 신경 사이에는 거리가 꽤 있어보입니다. 크게 걱정하지 않아도 될 것으로 보입니다.
안녕하세요. 송우식 치과의사입니다.
사진에서 빨간색으로 표시된 부위가 본인 몸에서 오른쪽이며 하치조신경과 거리가 떨어져 있습니다. 사진에서 반대편 본인 몸에서 왼쪽의 경우 하치조신경관과 약간 겹쳐 있습니다.
안녕하세요. 송준범 치과의사입니다.
신경과의 거리는 어느정도 있고 사랑니 뿌리가 모여있어서 괜찮을 것 같습니다. 다만 맹출 방향 자체가 바로 앞 어금니에 수평으로 붙어있어서 뽑는것이 좋아보이긴 합니다.
안녕하세요. 최석민 치과의사입니다.
보통 발치 시 고려되는 해부학적 구조물은 아래턱의 신경관이고요. 근접하긴 했지만 조심해서 빼면 큰 문제는 없을 것 같습니다.

