의료상담

목구멍 위쪽에 뭐가 났는데 이게 뭘까요?

성별

남성

나이대

34

복용중인 약

각종 영양제들

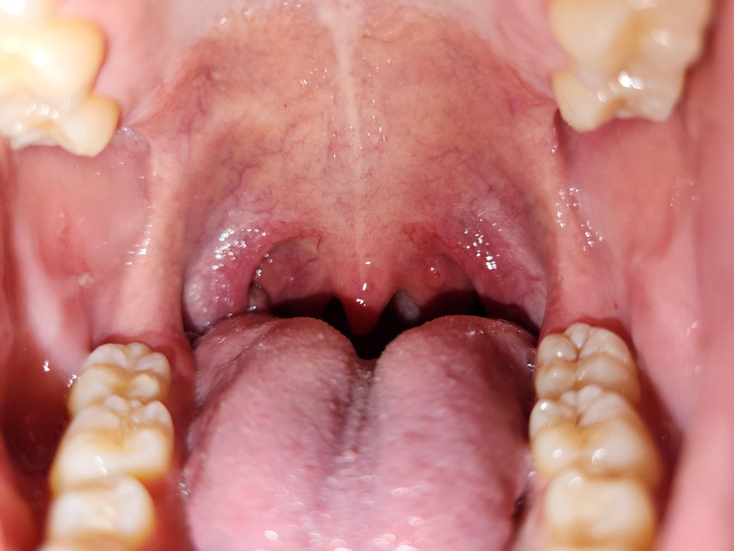
왼쪽 목구멍 윗쪽에 뭐가 났는데 이게 뭘까요...?

이따금씩 구내에 생기는 수포같은건줄 알고 손 씻고 터트리려고 했지만 터지진 않고 생각보다 단단한? 느낌이더라고요.

검색해보니 비인두암이라는 무서운 암일까 걱정이 많이 됩니다... 당연히 병원에 가고 싶지만 현재 미국 출장 중으로 4주 후 귀국 예정입니다 ㅜ

사진으로 먼저 상담 부탁드립니다...

  • 1번 째 사진
  • 2번 째 사진

1개의 답변이 있어요!

  • 안녕하세요. 최성훈 의사입니다.

    올려주신 사진으로 미루어 악성 병변보다는 양성 질환의 가능성이 더 생각되나 귀국 후 이비인후과 진료를 받기 바랍니다.

    음주, 흡연, 카페인, 자극적 음식의 섭취와 과도한 목 사용을 피할 것을 권합니다.