아하
  • 토픽

  • 스파링

  • 잉크

  • 미션


의료상담

어쩌면유머러스한해파리

어쩌면유머러스한해파리

신장결석 ct 보는 방법 좀 알려주세요.

성별

여성

나이대

40대

안녕하세요. 저는 신장결석으로 정기적으로 ct 검사를 받고 있는데요. 그간의 경과를 살펴보고 싶어서 집에서 자료를 열어봤는데 보기가 어렵네요..

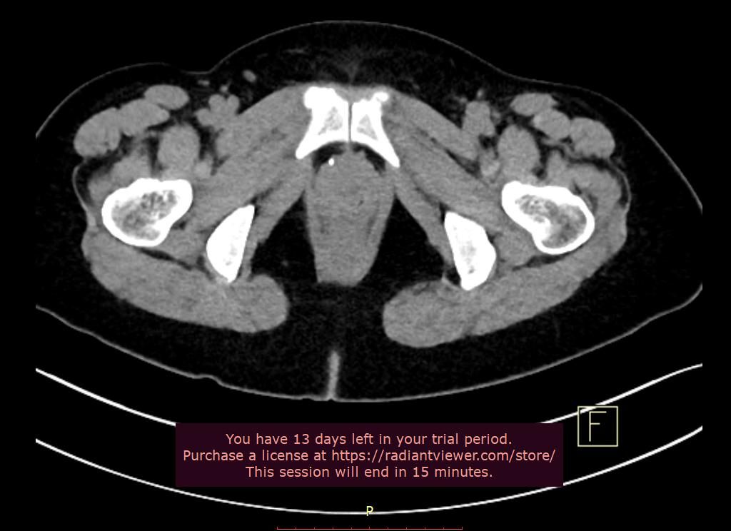
다른 슬라이스에서 신장 결석이 확인되는데요. 제가 궁금한 부분이 있어서요.

아래 사진 캡처해서 업로드해보았는데요. 오른쪽에 하얀 점 1개, 왼쪽에 위아래로 하얀 점 2개가 보이는데요.
작년에 요관 결석 제거 수술 받은 직후에 찍은 것에도 보이더라고요.
결석 제거 후에 찍은 거라서 결석은 아닌 것 같은데요.
이건 무슨 석회화라고 봐야 할까요? 아니면 ct 음영 때문에 보이는 걸까요?

  • 1번 째 사진
  • 2번 째 사진

1개의 답변이 있어요!

  • 채홍석 가정의학과 전문의

    채홍석 가정의학과 전문의

    유성선병원

    안녕하세요. 채홍석 가정의학과 전문의입니다.

    업로드해주신 증상의 설명과 자료는 잘 보았습니다.

    위치로 봐서는 자궁이나 질과 같은 생식기 벽에 양성 석회회가 있는 것 같습니다.

    특별한 문제가 되거나 별도의 처치가 필요한 것은 아니구요

    CT 아티팩트는 아닐 것 같습니다