의료상담

건강검진센터에서 mri를 찍었는데 신장양쪽에 혹이 있다네요

성별

남성

나이대

40대

기저질환

없습니다

복용중인 약

없습니다

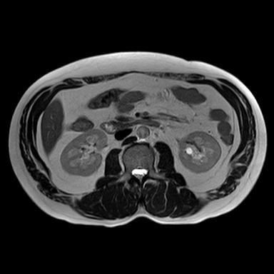
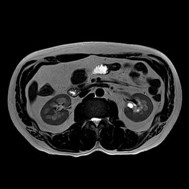
신장 양쪽에 혹이 있다고 하는데 (좌신, 등)

영상을 카피하고 영상의학과? 신장내과? 비뇨기과? 가보려고 합니다

사진을 보고 어디로 가야 하는지 알려주실 수 있을까요?

  • 1번 째 사진
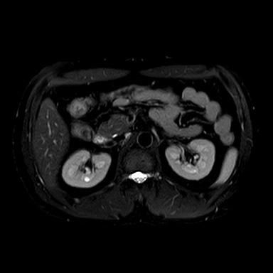
  • 2번 째 사진
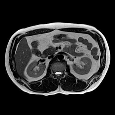
  • 3번 째 사진
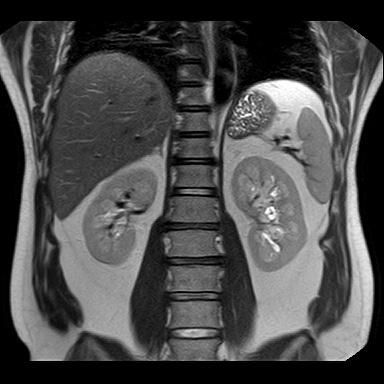
  • 4번 째 사진
  • 5번 째 사진
  • 6번 째 사진
  • 7번 째 사진

1개의 답변이 있어요!

  • 비뇨기과를 가시는 것이 맞고, 제공해주신 MRI와 초음파 소견을 종합하면, 양측 신장에 병변이 보이기는 하나 형태가 서로 다릅니다. 한쪽은 비교적 경계가 명확하고 밝게 보이는 병변으로 낭종 가능성이 우선 고려되고, 반대쪽은 내부 신호가 혼재된 형태로 단순 낭종 외의 병변 가능성도 완전히 배제하기는 어렵습니다. 다만 단일 컷 이미지로는 조영 증강 여부, 내부 구조, 혈류 평가가 제한되어 확정 판단은 불가능합니다.

    임상적으로 중요한 기준은 단순 낭종인지, 복합 낭종인지, 혹은 고형 종양인지 구분하는 것입니다. 단순 낭종이면 추가 치료 없이 경과관찰이 원칙이고, 복합 낭종이나 고형 병변이면 추가 평가가 필요합니다. 이 구분은 조영증강 CT 또는 조영 MRI에서 보스니악 분류 기준으로 판단합니다.

    진료과 선택은 비뇨기과가 우선입니다. 신장 종양 및 낭종의 1차 평가와 추적, 필요 시 수술까지 담당하는 과입니다. 영상의학과는 판독을 담당하는 과로 직접 진료는 하지 않으며, 신장내과는 기능 이상이나 만성신질환이 있을 때 적합합니다.

    권장 흐름은 다음과 같습니다. 현재 MRI 원본과 판독지 확보 → 비뇨기과 방문 → 필요 시 조영 CT 또는 조영 MRI 추가 (만약 수술적 치료를 계획한다면 신혈관 파악이 용이한 3D renal angio CT 등 추가 촬영할 수도 있습니다.)→ 보스니악 분류에 따른 추적 또는 치료 결정입니다.

    현 시점에서 급하게 의심할 소견으로 단정하기는 어렵지만, 양측성 병변이므로 단순 낭종인지 확인은 반드시 필요합니다. 특히 40대에서는 우연히 발견되는 낭종이 흔하지만, 복합 낭종은 일부에서 종양과 연관될 수 있어 정밀평가가 필요합니다.