아하
  • 토픽

  • 스파링

  • 잉크

  • 미션


의료상담

대찬줄나비288

대찬줄나비288

편도염증 및 붓기로 인한 호흡곤란..

성별

남성

나이대

33

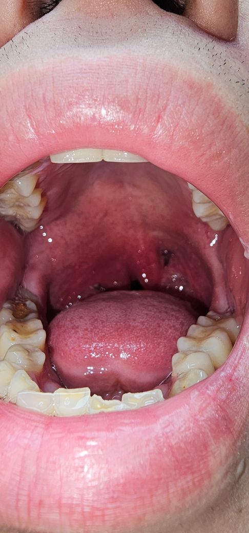
한시가 급합니다 .. 일요일이라 문연병원도 없어서 자세한 건 사진으로 대체 하겠습니다 . 증상과 해결방법좀 알려주세요 ...ㅠ

  • 1번 째 사진

3개의 답변이 있어요!

  • 최성훈 내과 전문의

    최성훈 내과 전문의

    고려병원

    안녕하세요. 최성훈 의사입니다.

    올려주신 사진이 저명하진 않지만 편도가 커져 있는 것이 확인 됩니다.

    편도 비대로 인한 호흡곤란이 있다면 응급실 진료를 받으시기 바랍니다.

    치료 기간동안 음주, 흡연, 자극적 음식, 뜨거운 음료 섭취를 피할 것을 권합니다.

  • 급성편도염의 가능성이 있어보입니다

    세균성이 아니라면 염증을 제거하고 증상 완화를 위한 적절한 보존적 치료를 시행하면됩니다. 필요하면 진통제를 투여하는데, 대부분의 경우 아세트아미노펜(acetaminophen) 제제나 아스피린 계열의 약물만으로도 충분합니다. .세균성 편도염을 치료하기 위해서는 전신적인 항생제 치료가 필요하기에 전문의 진료를 받는 것이 필요합니다.

    항생제를 투여하기 시작했다면 7~10일간 충분히 쓰는 것이 좋습니다

  • 호흡곤란이 있다면 진료를 받으셔야 합니다

    지금은 응급실 진료만이 가능하실 것 같습니다

    환자분 혼자서 시간을 지연시키지 마시고 일단 응급실로 가보시기 바랍니다.