아하
  • 토픽

  • 스파링

  • 잉크

  • 미션


의료상담

세븐지니

세븐지니

우연히 정강이 X레이 찍었는데 사진좀 봐주세요...

성별

남성

나이대

43

기저질환

없음

복용중인 약

없음

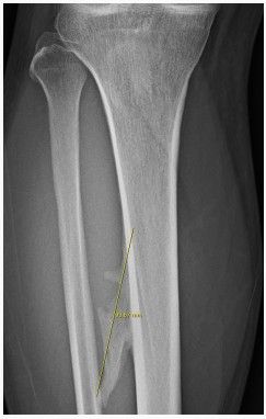
동네병원에서 우연히 찍었는데 양쪽 정강이에 종양이 있다고 합니다 크기는 오른쪽 기준 9~10센치 정도구요

골연골증이나 경비결합외골증??? 이라는데 선생님들 한번 봐주세요 혹시 MRI찍어야 되나요?

  • 1번 째 사진
  • 2번 째 사진

3개의 답변이 있어요!

  • 채홍석 가정의학과 전문의

    채홍석 가정의학과 전문의

    유성선병원

    안녕하세요. 채홍석 가정의학과 전문의입니다.

    그러네요 비정상이네요

    담당선생님이 하시라는데로 하면 됩니다

    CT찍으라면 CT 찍고 MRI 찍으라면 MRI 찍으시면 됩니다.

  • 안녕하세요. 김덕현 물리치료사입니다.

    정강이쪽에 종양이 어떤건지 확인하고싶다면 좀더 정확한 진단을위해서 MRI나 초음파검사를받아보는것이 좋은데요 가까운 종합병원이나 대학병원으로 내원해보시길 바랍니다 감사합니다~!

  • 안녕하세요. 송진영 물리치료사입니다.

    골연골종이나 경비결합외골증 진단을 받았다면 양성 종양일 가능성이 큽니다 크기가 9~10cm라면 추가 검사를 위해 mri촬영이 필요할 수도 있으니 정형외과 전문의와 상담해보시는 것이 좋습니다 특히 통증이 있거나 크기가 계속 커진다면 정밀 진단이 중요합니다!