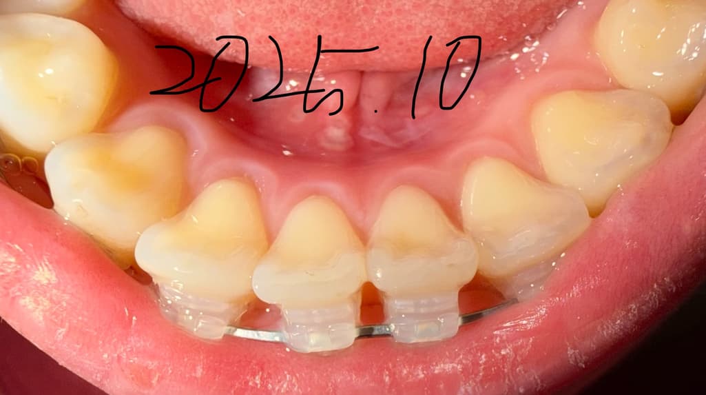
잇몸퇴축이 시작된거같아요 예방하고싶어요
교정한지 1년됐어요
잇몸퇴축 최대한 막으려면 어떻게해야하나요? ㅠㅠ
잘 자는것이 도움이되나요? 요즘 잘 못 잤습니다. 잘 자면 회복될수도있나요?
다른 잇몸퇴축이미지는 잇몸주변에 구내염처럼 흰 띠가 없는데, 저는 왜 흰 테두리가 있나요?
교정하기전부터 옅게 있었는데 아프지않아요
안녕하세요. 김지훈 치과의사입니다.
잇몸이 내려가지 않기 위해서는 치석이 쌓이지 않도록 최대한 관리 잘해주시고 스케일링 받으시면 됩니다.
안녕하세요. 김철진 치과의사입니다.
나이가 들면서 잇몸이 내려가는건 자연스러운 현상입니다. 교정을 하고 잇어서 힘을 받아서 잇몸이 더 내려갈수 있으니 양치 및 스켈링을 잘해주시는게 좋습니다.
안녕하세요. 정진석 치과의사입니다.
현재 보이는 정도로는 잇몸 퇴축이라고 할 수 없습니다. 교정 중에는 치아가 이동하므로 이동하면서 보이는 부분이 달라져 마치 퇴축된것처럼 보일 수도 있습니다. 하지만 지금과 같은 상태에서는 퇴축이 아닌 정상적인 상태로 보아야 하며 사진 상에서 병적 퇴축은 보이지 않습니다.
아무쪼록 저의 답변이 문제 해결에 작게 나마 도움이 될 수 있기를 기원드립니다. 항상 건강하고, 행복하세요^^
안녕하세요. 안상우 치과의사입니다.
사진에 보이는 흰띠는 치아가 이동하면서 잇몸이 눌리면서 생기는 증상입니다. 교정을 하게 되면 잇몸이 조금씩 내려가는 경우가 있습니다. 교정으로 인해서 잇몸이 내려가는것을 막는 방법은 없습니다. 하지만 잇몸에 염증이 생기지 않도록 관리를 잘 한다면 잇몸퇴축이 더 일어나는것을 방지할수 있습니다.
자세한 확인을 위해서 치과에서 진료를 받아보는 것을 권유드립니다.
안녕하세요. 최석민 치과의사입니다.
컨디션, 영양상태가 잇몸건강에 영향을 미치기도 합니다
비타민a,c 복용하세요
바스법으로 양치하세요
잇몸질환은 다양한 증상이 나타납니다

