아하
  • 토픽

  • 스파링

  • 잉크

  • 미션


의료상담

짙푸른웜뱃197

짙푸른웜뱃197

교정유지장치 레진 탈락 후 재부착했는데 통증

하악 와이어 왼쪽 끝 레진이 탈락해서 동네 치과의원도 아니고 병원에서 재부착하였습니다. 재부착하고 나서부터 치아뿌리에 가해지는 힘이 느껴지는데 이경우 치아가 틀어질 가능성이 있나요? 양쪽끝 와이어 재부착 시 잘못된 부착으로 인해 치아 파절 등 손상의 위험이 있는지 궁금합니다.

  • 1번 째 사진

3개의 답변이 있어요!

  • 정진안 치과 전문의

    정진안 치과 전문의

    스마일온서울 교정치과(건대입구)

    안녕하세요. 정진안 치과 전문의입니다.


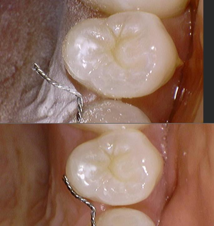
    유지 철사가
    상단 사진처럼 치아에서 떠있는 상태에서 고정이 되면 그럴 수 있구요
    하단 사진처럼 최대한 치아에 붙은 상태로 고정이 되야합니다.

    사진은 실제로 저희 환자분이 다른 치과에서 급하게 붙이시고 치아가 교정할때 처럼 느낌이 난다 하셔서 제거를 해보니 아니나다를까 와이어가 팍 튀어나갔던 경우입니다 ㅎㅎ

    다니시던 교정치과 내원이 가능하시면 내원하셔서 점검 받아보시는게 가장 좋습니다!

  • 안녕하세요. 김철진 치과의사입니다.

    떨어졋다가 다시 유지장치를 붙히게되면 힘이 가해지기 때문에 일시적으로 불편감이 잇을수 있습니다.

  • 안녕하세요. 최석민 치과의사입니다.

    유지장치는 패시브하게 장착되어야 합니다. 힘이 가해지면 안됩니다. 원래 교정했던 치과를 내원해서 유지장치 조정받으세요