홈
토픽
스파링
잉크
미션
전문가 신청
베리몰
나도 질문하기
의료상담
항상화기애애한복분자
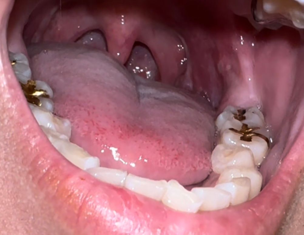
사진의 오른쪽 뒷쪽어금니 쪽 통증이 시작된지 1주되었는데 붓기가 심할때는 입을 잘벌리지를 못했는데 현재는 입을 약간 벌릴수있는상태입니다. 매복사랑니가있는 상태인데 매복사랑니때문에 발생한 통증일까요? 아니면 구강암초기증상일까요?
초기 사진입니다.
7일경과후 사진입니다
사진 보기
3개의 답변이 있어요!
김철진 치과의사
가까운우리치과
∙
안녕하세요. 김철진 치과의사입니다.
사랑니 때문에 염증이 생겨서 그럴가능성이 있으니 계속해서 불편하시면 발치를 하시는게 좋을것같습니다.
5.0 (1)
응원하기
최석민 치과의사
강원도 원주의료원
안녕하세요. 최석민 치과의사입니다.
특별히 사진상 악성병소의 양상은 관찰되지 않습니다 입을 벌리기 힘든 경우는 감염, 사랑니로 인한 치관주위염, 턱관절 문제 등입니다 정확한 진단을 위해 치과를 가보시기 바랍니다
안상우 치과의사
목동안치과의원
안녕하세요. 안상우 치과의사입니다.
하악 구치부 쪽에 사랑니가 남아 있게 되면 해당 부위에 이물질이 들어가게 되어 염증이 생길 수 있습니다. 사랑니로 인해서 염증이 생긴 것이라면 치아를 발치해주는 것이 좋을 수 있으니. 자세한 확인을 위해서 치과에서 진료를 받아보세요.
평가